〒350-0214 埼玉県坂戸市千代田3丁目11−1  1階

ご予約は24時間ネット予約が便利です

営業時間:月・水・金 10:30~12:30 16:00~20:00
土曜日(1週・3週・5週)10:00~12:00 14:00~17:00

24時間ネット予約受付中
049-280-7881

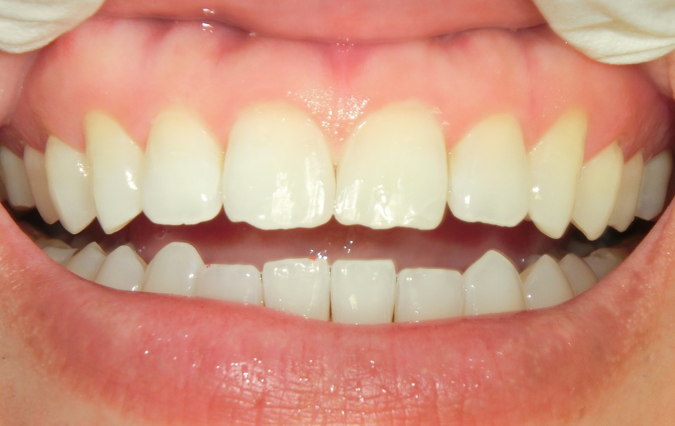
埼玉県坂戸市 セラミック審美歯科をもっと身近に
ひかり歯科

ひかり歯科治療の紹介

ひかり歯科では審美歯科(セラミックス・ダイレクトボンディング)

【 ダイレクトボンディング 】削らず、歯のすき間(すきっ歯)を短期間でキレイに治す

【 セラミック 】銀歯や変色歯、歯ぐきの黒ずみ、歯の形、歯並び、古いかぶせもの入れ替え

【痛みの少ない治療】電子制御麻酔+極細注射針を使用により 楽な歯科治療を提供

審美歯科に力を入れたクリニックで費用は良心的な設定となっております。
治療前後の画像を多く掲載しております参考にして下さい

◆◆痛みの少ない麻酔システム導入◆◆

電子制御麻酔器と極細注射針を使用すると、従来の麻酔より痛みが少ない治療が可能。

『昔の歯科治療に比べて痛みが少なかった』と患者さんから嬉しいお言葉を頂いてます。

■■ セラミック治療 ■■
 プレミアムセラミック ・ ナチュラルセラミック ・ ナチュラルラミネートべニア など
 
変色歯 古い差し歯 歯ぐきの黒ずみ・ブラックマージン 歯のすき間・ブラックトライアングル 酸蝕症 虫歯 歯の破損・外傷歯 など 歯を美しく改善させます
 ▶なぜセラミック? 見た目が良い【審美性】のは当然ですが、汚れが付きにくく身体になじみやすい
【生体安定性】事と長持ちする【耐久性】事から 歯にとって理想的な材質 と考えます。

セラミック治療例      院長 佐生 光也 症例
※ひかり歯科では匠な高い技術を持ったセラミスト【歯科技工士】が
1つ1つ丁寧に魂を込めてセラミックの作成しております
 

■ ナチュラルセラミック+ダイレクトボンディング ■

  【治療前】
  【治療後】

【解説】初診時左の状態、ブラックマージン+差し歯変色+詰め物変色を主訴に来院

【治療】ナチュラルセラミック1本とダイレクトボンディング1カ所

右の状態まで改善し患者さんに喜んでいただきました。

                              ひかり歯科 院長 佐生 光也 症例

 

■ プレミアムセラミック ジルコニア 前歯2本 ■

  【治療前】                   【治療後】

【主訴】 左が初診時 数十年前に治療した差し歯を治してほしい アンバランスな前歯が主訴  

【治療】セラミック治療(プレミアムセラミックジルコニア) 2本

セラミック2本のみの最小限の治療にて歯を見せて笑顔を作れる口元に改善できました、患者さんも大変満足さてた様子です。

                                ひかり歯科 院長 佐生 光也 症例

 

■ ナチュラルセラミック ラミネートべニア 前歯4本 ■ 

 【治療前】                    【治療後】

 

【主訴】 歯のすき間が気になる 歯の表面が溶けている

【治療】セラミック4本(セラミックラミネートベニヤ) 

【解説】酸蝕症を疑う症例 歯をほとんど削らずに治療可能なラミネートベニヤセラミック治療を選択

    患者さん大変喜んでおられました

▶なぜ?ラミネートべニア?

圧倒的なメリットが歯をほぼ削らずにセラミック治療ができること。

極薄のセラミックシェルをつけ爪の様に歯に貼り付ける治療法

歯を白くしたい・歯のすき間を(すきっ歯)治したい・歯の形を変えたい

けど歯はあまり削りたくない患者さんに最適です。

但し 大幅に歯並びを改善することは出来ないこと、出っ歯気味の方、歯ぎしりが強い方は適応外となります

 ■ ナチュラルセラミック + グラスファイバーコア ■

  【治療前】                     【治療後】

【解説】 差し歯の変色 歯ぐきの黒ずみを主訴に来院されました

【治療】セラミック治療 1本 グラスファイバーコア1本

ナチュラルセラミック1本でかなり口元の印象が変わります 患者さんも大変満足さてた様子です。

 

 

■ ナチュラルセラミック +グラスファイバーコア ■ 

  【治療前】                   【治療後】

【解説】 神経の死んだ歯 が変色して 治してほしいを主訴に来院

     最小限の治療1本セラミック治療にて右の状態まで回復 とても満足されていました。

【治療】セラミック1本 グラスファイバーコア(根管治療含む) 

歯の神経が死んでしまった場合 歯の色が変色する場合が多くあります、セラミック治療にて綺麗な白い歯にすることが可能です、数年我慢している方も多くもっと早く治療すれば良かったとおっしゃる方多い印象です。

 

 

■ セラミック メタルボンド 犬歯~犬歯 ■

  【治療前】                     【治療後】

【解説】 数十年前に治療した差し歯の変色 歯ぐきラインが黒く変色しているのを治してほしい 

【治療】セラミック治療 6本 

歯ぐきラインの変色改善 歯のすき間や歯並びの乱れもありましたので犬歯~犬歯まで6本をセラミック治療を行い右の状態まで改善 患者さんにもお喜び頂きました

 

 ■ ナチュラルセラミックemax  前歯2本 ■

  【治療前】                    【治療後】

【解説】 前歯大きさと歯の神経を取ったあとの歯の変色を気にして来院 

     前歯2本が大きく前に出ている状態でした(出っ歯気味)

【治療】セラミック2本

セラミック2本のみの最小限の治療にて、歯のお悩みを解消、歯を見せて笑顔を作れる口元に、患者さんも大変満足されておりました。

 

 ■ セラミック メタルボンド 犬歯~犬歯 6本 ■

   【治療前】                       【治療後】

【解説】 歯ぎしりで前歯が削れ短くなった 

【治療】セラミック6本 歯ぎしり用マウスピース

 セラミックにて 削れた前歯を修復 患者さんも満足されておりました

セラミック治療 メリット・デメリット
【メリット】歯の色 形 歯並び を短期間で治療可能 
【デメリット】歯を削る必要がある 歯根の治療が必要の場合がある
ラミネートタイプは強い咬合力で破損リスク
【期間】3回程度/1本
【費用目安】

ナチュラルラミネートべニア 69,800~79,800
プレミアムセラミックジルコニア 79,800
ナチュラルセラミックemax   69,800

セラミックメタルボンド  59,800
                  2023年9月現在の費用目安
           ※初診時検査後正確な費用をお伝えします

ダイレクトボンディング症例 院長 佐生光也
歯をほとんど削らず治療期間も短く歯のコンプレックス改善が可能です

【治療前】                        【治療後】

◆ダイレクトボンディング 上顎 歯のすき間(すきっ歯)◆

 

       ◆ ダイレクトボンディング 上顎 正中離開 すき間 すきっ歯 

 

 ◆ダイレクトボンディング 上顎下顎 複数本 歯のすき間(すきっ歯)◆

 

     ◆ ダイレクトボンディング すき間+矮小歯 歯の形態修正

 

           ◆ダイレクトボンディング 下顎 すき間 すきっ歯

 

           ◆ダイレクトボンディング 下顎 複数本 すき間 すきっ歯

 

          ◆ ダイレクトボンディング 下顎 すき間 すきっ歯

 

 ◆ダイレクトボンディング ブラックトライアングル改善◆

 

     ◆ ダイレクトボンディング ホワイトスポットの変色 前歯変色

 

 

◆ダイレクトボンディング 歯の変色・初期虫歯◆

 

◆ダイレクトボンディング 小さい銀歯の入れ替え◆

銀歯除去→虫歯除去→ダイレクトボンディング

小さい銀歯は直接充填タイプ(ダイレクトボンディング)可能

大きい銀歯は 歯型をとって作るタイプ(インレー・クラウン)適応

ダイレクトボンディング メリット デメリット
メリット 歯を削らない・削る量が少ない
短期間で治療が終了する
デメリット 素材が樹脂であり経年劣化により入れ替えの必要がある
色が変わってきたり カケが認められたら入れ替え
治療期間 2回程度/1から1カ所
費用目安 
15,000 / 小範囲 1充填
30,000 / 1つのすき間(2充填)
30,000 / 前歯表層1本
29,800 / 奥歯1本
2023年9月現在の費用目安
虫歯除去1000~2000、局所麻酔1000、金属除去費用1000~2000などは別途
費用がかかり、虫歯の有無麻酔の必要の有無により合計が変わります。
初診検査時費用合計を説明します

詳しくは下記に説明があります、ご覧ください 

2022 デイレクトボンディング15.png
2022 オールセラミック15.2.png

ホームページ上に診療費用記載しておりますが、あくまで目安となります。実際の費用については診察後見積もりをお伝えしますのでそれで確定となります、ご理解ください。

 

※オールセラミック(e-max ジルコニア)については国内歯科技工所にて作成依頼
をしており国内で承認されてない 未承認医薬品医療機器の使用はありません。
医療広告ガイドラインに基づき記載いたします

■ご予約はネットか電話にて■
【24時間ネット予約】

【電話予約】
TEL 0492807881
月・水・金 
10:30~12:30 15:00~20:00
土曜日(1週・3週・5週)
10:00~12:00 14:00~17:00

【 審美歯科 】

笑った時の第一印象を決める口元

銀歯、口元を老けて見せます、女性を中心に白い歯に変える方増えています。 

歯のすき間(すきっ歯)即日30分でキレイに治療可能【ダイレクトボンディング】 

  • 銀歯  白い歯(ハイブリッドセラミック・オールセラミック)
  • すきっ歯  歯を削らず・痛みもなく・即日30分で治療可能
  • セラミック歯並び矯正 マウスピース矯正

【審美歯科・セラミックス】

【審美歯科 前歯症例紹介①】

nakaDSCN3171_CROP_crop.jpg

【治療前:前歯変色 古い差し歯】 

変色と着色で口元が・・・ 

【前歯 セラミックス治療】
セラミックスで清潔感のある
キレイな口元を創造

●治療箇所 

左側前歯(向って右)前歯に差し歯交換・セラミック治療
左側前歯 変色した詰め物をダイレクトボンディングで治療


●費用目安は料金表をご覧ください。

セラミッククラウン   69,800~79,800
ダイレクトボンディング 15,000



治療回数目安 3回~5回

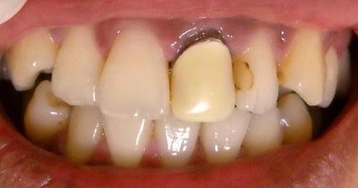
【審美歯科 前歯セラミック症例紹介②】

 

●治療箇所 
左右2番目のは変色あり、歯の神経がしたした状態(神経が死んだ状態)


●費用 

セラミッククラウン   69,800×2本 
【オールセラミックe-max】 



治療回数目安 3回~6回

■ポイント■

前歯はオールセラミック(e-max,ジルコニアボンドセラミック)
が機能性・耐久性・審美性の面でゴールドスタンダード

 

オールセラミック 利点
金属アレルギーリスクがない
審美性 見た目が天然歯よりキレイ
歯ぐきが黒くならない

 

オールセラミック 欠点
費用が高い
オールセラミックは平均的クリニックで1本あたり
90,000円~180,000円と高額治療 【ひかり歯科費用69,800~79,000】


詳しくは下記
2022 オールセラミック15.png

【審美歯科・奥歯症例】

【治療前:笑うと見える銀歯】 
ギラッとひかる銀色の奥歯・・

【ハイブリッドセラミックス】
清潔感のある白い歯
大きく口を開けられます。

●白い歯(セラミックス)
ハイブリッドセラミッククラウン  39,800×3本

 

 

 ■ポイント■
ハイブリッドセラミッククラウン
比較的安価で白い歯が可能、やや耐久性に問題があり
噛み合わせ強い方や歯ぎしりのある方は適応から外れる
 
●利点
奥歯では十分なキレイさ(審美性)
費用が比較的安い 
一般的クリニックでは60,000前後 
 
●欠点
セラミックに比べて 見た目や耐久性は劣る
 

銀歯を白い歯に治療
ダイレクトボンディング治療

金属除去すると虫歯が、、

虫歯をキレイに除去して
白い歯に替える治療を行いました。

治療前

金属除去すると
黒い虫歯がありました

虫歯を取り除き
ダイレクトボンディング

費用目安 
初診検査料    3,500

ダイレクトボンディング奥歯 29,800
 
期間 

1回から2回

※銀歯の範囲が大きいものはセラミックインレーが適応となりダイレクトボンディングが出来ない場合あり。

ひかり歯科 院長 佐生光也 症例

【治療前】
歯のすき間(すきっ歯)目立つ

【審美歯科症例 ダイレクトボンディング】

歯の隙間をダイレクトボンディングで埋める

歯を削らず、1日で治療が完了する治療方法

■前歯のすき間治療① 

【治療後】
ダイレクトボンディングで1回で改善

【審美歯科症例ダイレクトボンディング】

■前歯のすき間治療②

【治療前】

前歯歯と歯の間に隙間がある

CIMG0550g.jpg

【治療後】

ダイレクトボンディングで改善

【審美歯科症例ダイレクトボンディング】

■前歯のすき間治療③

DSCN3665_crop.jpg

【治療前】

正中離開 歯の隙間大きい

DSCN3666_crop.jpg

【治療後】

ダイレクトボンディングで改善
前歯のダイレクトボンディング

費用目安 
初診検査料    3,500

一つの隙間につき 30,000
期間 

2回

ダイレクトボンディングのポイント
直接的にセラミック配合された合成樹脂を数層重ねで歯に
接着させる治療方法

 

●利点
歯を削る事がほとんど無い
痛みがほとんど無い
1ヶ所であれば1日で治療が完了する

 

●欠点
一生はもたない(2年~8年程度で入れ替え)
過度な使用、歯ぎしりがあると割れることがある

【審美歯科症例ダイレクトボンディング】

■前歯のすき間治療④
前歯のすき間を埋める

【治療前】
歯の隙間目立つ

【治療後】

ダイレクトボンディングで改善

【審美歯科症例 ダイレクトボンディング】

 ■前歯のすき間治療⑤

【治療前】

歯の隙間 複数

【治療後】

ダイレクトボンディングで歯の隙間 改善

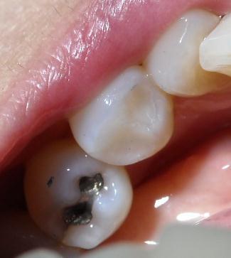
【審美歯科症例 セラミックインレー】

銀歯を白い歯に入れ替え
  ■奥歯の銀歯を白くする治療①

【治療前】
銀の詰め物

【治療後】
銀歯をセラミックインレーで白い歯へ

【審美歯科症例セラミックインレー】

■奥歯の銀歯を白くする治療②

【治療前】

銀歯の詰め物

【治療後】
セラミックインレーで
銀歯を白い歯へ

【審美歯科症例 ダイレクトボンディング】

■奥歯の銀歯を白くする治療③

銀歯を白く

【治療前】

奥歯に銀歯2か所

【治療後】

奥歯の銀歯をダイレクト
ボンディングで白い歯へ

●奥歯ダイレクトボンディング

費用
初診検査料 3500円

29,800円×2カ所
 


期間
2回から3回

【 ホワイトニング 】 米国式ホワイトニングで白い歯を!

ひかり歯科のでは低価格で良質なホワイトニングを提供します。

【ホワイトニング①】
上下歯の色の違いを見てください
上がホワイトニング後
下が未治療です。
(すべての画像はクリックで大きくなります) 
●分かりやすいように上下別々に時間差で治療

【ホワイトニング②】

 治療前  
 日本人典型の黄色い歯 

治療後
 白く・透明感のある白い歯

上下同時治療症例

【ホワイトニング③】

上下歯の色の違いを見てください
上がホワイトニング後
下が未治療です。

●分かりやすいように上下別々に時間差で治療
 

●ホワイトニング手順
①歯型とり ②ホワイトニング用マウスピース作成 ③自宅で1日2時間ホワイトニング
④2週から4週で治療終了
●メリット
歯を削ることなく白くできるのがメリット
セラミック治療に比べると低費用
●リスク
一時的に知覚過敏症状が出る場合がある
ホワイトニングは白くなるスピードと仕上がりに
個人差がある
詰め物など人工物は白くならない

【 インプラント 】

  • せんべいが食べられた! 
  • 厚いお肉が食べたれた!
  • 入れ歯の異物感から開放された!
  • 入れ歯に比べ食べ物が美味しく感じる。
  • 旅行中入れ歯をはずして洗うのを見られるてショックでインプラントにした。
  •  歯周病で歯が抜け始めたので歯止めを利かせる意味から(インプラントは

他の歯の負担を減らせると聞いた)インプラントにした。
インプラント患者さんから、上記ご意見を頂いております。 

ひかり歯科【インプラント】 症例紹介

①右下奥歯インプラント2本埋入
インプラント2本入れたため右下の部分義歯を使う必要がなくなる。

【ミラー像のため左右逆】
②右上奥歯インプラント1本埋入

【治療前】
【治療後】

③ 右上奥歯インプラント1本埋入
ソケットリフト 上顎洞挙上併用

④左下奥歯3本インプラント埋入

下顎部分義歯から開放され快適な食生活

インプラント治療手順
 ①術前診断CT撮影 ②インプラント手術(1時間程度)③上部構造装着④メンテナンス
●メリット
他の歯の負担が軽減する
他の歯を削る必要が無い
●デメリットとリスク
外科処置を伴う
費用が高額になることが多い
インプラントが歯周病になることがある
定期的なメンテナンスが必要

【ダイレクトボンディング】

なるべく削らず・キレイに治す

①前歯の虫歯

【治療前】
虫歯除去時 

【治療後】
キレイに治す

②前歯の離開【正中離開】

【治療前】
 前歯歯と歯の間がすいている

【治療後】
 白い詰め物で改善

【治療前】 
前歯に隙間あり

【治療後】
歯を削らずに改善

③水銀合金の銀歯の詰め替え

【治療前】 
 光沢の無い銀の詰め物はアマルガム(水銀含有)の可能性あり。

【治療後】 
 水銀合金を除去し白い詰め物で治療

2022 デイレクトボンディング15.png

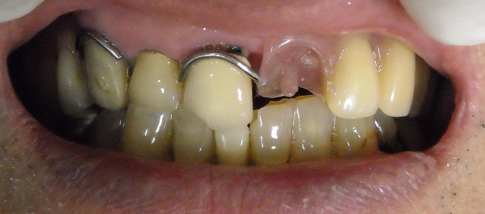
【義歯(入れ歯)の破損を即日修理①】

前歯脱落

直接修理

費用 1500円~8000円  回数1~2回

【義歯(入れ歯)の破損を即日修理②】

前歯脱落

即日修理

費用 1500円~8000円  回数1~2回

義歯(入れ歯)修理治療手順

義歯破損部位を歯科用合成樹脂にて修復
注意事項 治療リスク因子
 義歯修理は義歯劣化が激しい場合早期に破損する場合がある

 また、状態により修理不能な場合がありその場合作成となる

【粘膜疾患 頬粘膜癌 】

在宅医療にて口腔癌
頬粘膜癌の一例 

処置 

高次医療機関(大学病院口腔外科)に紹介
紹介後頬粘膜癌と確定診断を受ける 

血圧の薬が歯周病悪化させる?

【血圧の薬服用による歯肉肥大増殖症】①

70歳男性 ニフェジピンによる下顎前歯歯茎の増殖

歯肉増殖は歯周病悪化原因の歯周ポケットを形成する
ため原因薬剤の変更及び歯周病治療が必要
治療法 内科医と相談の上投薬変更 歯周病治療

【血圧の薬服用による歯肉肥大増殖症】②

DSCN1469_crop.jpg

93歳女性 

カルシウム拮抗薬による下顎前歯歯茎の増殖

50年、長期服用のため 著しい歯肉増殖

 

治療法 内科医と相談の上投薬変更 歯周病治療
歯肉増殖は歯周病悪化原因の歯周ポケットを形成する
ため原因薬剤の変更及び歯周病治療が必要

 

坂戸市 ひかり歯科 院長 佐生 光也 症例

 

 

3周年のお知らせ

当院3周年のご挨拶  

ひかり歯科平成22年4月で開業3年を迎えることができました。 たくさんの患者さんにご来院いただきありがとうございました。

あらためて、医療技術の研磨努め患者さん負担の少ない医療を 提供させていただきます。

埼玉医大提携登録医療機関ひかり歯科 院長 佐生光也

お知らせ

ひかり歯科開院のご挨拶

平成19年4月1日

 ひかり歯科 院長 佐生 光也

このたび平成19年4月より坂戸市千代田に「ひかり歯科」を開院させて頂くことになりました。 患者様のご希望を最優先させた、優しい歯科医療 を行っていきたいと考えております。

特にお体の不自由な患者様はご自宅で歯科診療をお受けいただけるように訪問歯科診療に力を入れて おります。 専門スタッフによる安心な医療を提供できたらと考えております。
寝たきりの患者さんや車椅子ご利用の患者さんなど

歯科医院に通院困難な患者さんの歯科治療(訪問歯科診療)等特殊な診療にも対応した歯科医院です。

毎日9時〜午後3時まで訪問診療のため 外来(医院の開いているのは)

平日 午後4時〜7時 

土曜日午前9時〜午後5時のみになりますご了承ください。                      

医院外観
外観2
訪問歯科診療
寝たきり診療風景.JPG

お体が不自由で歯科に行けず、困っている方がお近くにいらっしゃいましたらご紹介ください。

入れ歯、歯を治す事によって、
食事の改善(口から物を食べることによる)
精神的改善(入れ歯等を入れ、歯が入ることによりお話を良くするようになった。
笑顔を見せるようになった等)
肺炎予防(お口のケアをするだけで肺炎の予防が可能です、特に脳梗塞後遺症

で飲み込みに障害がある患者さんは肺炎になりやすいため歯科医による定期的にお口のケアをお勧めします)

治療スタンス

私は大学病院や埼玉県内ノ歯科診療所で予防歯科在宅医療審美歯科・インプラントの診療を行ってきました。  

治療をすることより、治療をしなくて済む(病気にならないためにどうしたらよいか?)ことを常に考えています。

そのため、ひかり歯科の 診療スタンスは予防を重視した診療です。

また再治療にならないためにしっかり治す・治した後悪くしないこれも重要です。

歯は痛くなってからいくと手遅れな事があります。

歯を大切に思うのであれば、痛くないときに歯科に
行くのが正しい歯医者のかかり方と考えています。
インプラント治療においては他の天然歯の負担軽減・寿命延長のため行うスタンスです。

審美歯科治療については、歯をきれいにすることにより歯に関心を持っていただき、予防意識(歯を良く磨く)を高めたいと考えています。

治療は時間をかけて丁寧に行います、そのため普通の歯医者さんより治療期間が長くなる傾向にあります。

ご理解お願いいたします。  

ひかり歯科 院長 佐生 光也

お問合せ・ご相談

お電話でのお問合せ・ご相談はこちら
049-280-7881

受付時間:月・水・金 10:30~12:30 15:00~20:00
土曜日(1週・3週・5週)10:00~12:00 14:00~17:00
24時間ネット予約受付中

完全予約制

お電話で診察予約 

049-280-7881

<受付時間>
月・水・金
10:30~12:30 15:00~20:00
土曜日(1週・3週・5週)
10:00~12:00 14:00~17:00
※24時間ネット予約受付中
新患様はネット予約ご活用ください
既存患者様は公式LINEから
公式LINE  ID :  @385pezdt
予約・変更・キャンセル可能です。

患者番号と生年月日でログイン必要
 

  • ◎【良心価格審美歯科】

  • ●歯が欠けた・すきま

  • ●歯ぐきから出血?歯周病

  • ●口腔外科

  • ●お問い合わせ

  • ●その他診療案内●

  • ●ひかり歯科設備●

  • ●院長・スタッフ紹介

  • ●提携医療機関●

ひかり歯科

住所

〒350-0214
埼玉県坂戸市千代田3丁目11−1 1階

診療時間

月・水・金
10:30~12:30 16:00~20:00
土曜日(1週・3週・5週)
10:00~12:00 14:00~17:00
※24時間ネット予約受付中