〒350-0214 埼玉県坂戸市千代田3丁目11−1  1階

ご予約は24時間ネット予約が便利です

営業時間:月・水・金 10:30~12:30 16:00~20:00
土曜日(1週・3週・5週)10:00~12:00 14:00~17:00

24時間ネット予約受付中
049-280-7881

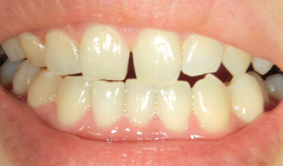
歯のすき間を治す ダイレクトボンデング



治療法:ダイレクトボンディング


利点 歯を殆ど削らない、基本的に1回で1つのすき間の治療可能

   矯正やセラミックに比べ低費用

欠点 一生持つものではなく、数年で(2年から5年)で修正や再治療の必要がある


歯のすき間でお悩みの方 歯を削らず歯と似た色の樹脂を直接接着させ

ることで歯のすき間を治すことが可能です。多くの患者さんがひかり歯科

にてこの治療を受けております。



歯のすき間をダイレクトボンディングで治療


治療期間 1回から2回 初診検査 ダイレクトボンディング

費用    初診診査 3500円

      2本ダイレクトボンディング 15000×2本

     合計 33500円+税

ひかり歯科 院長 佐生 光也 症例

 

 




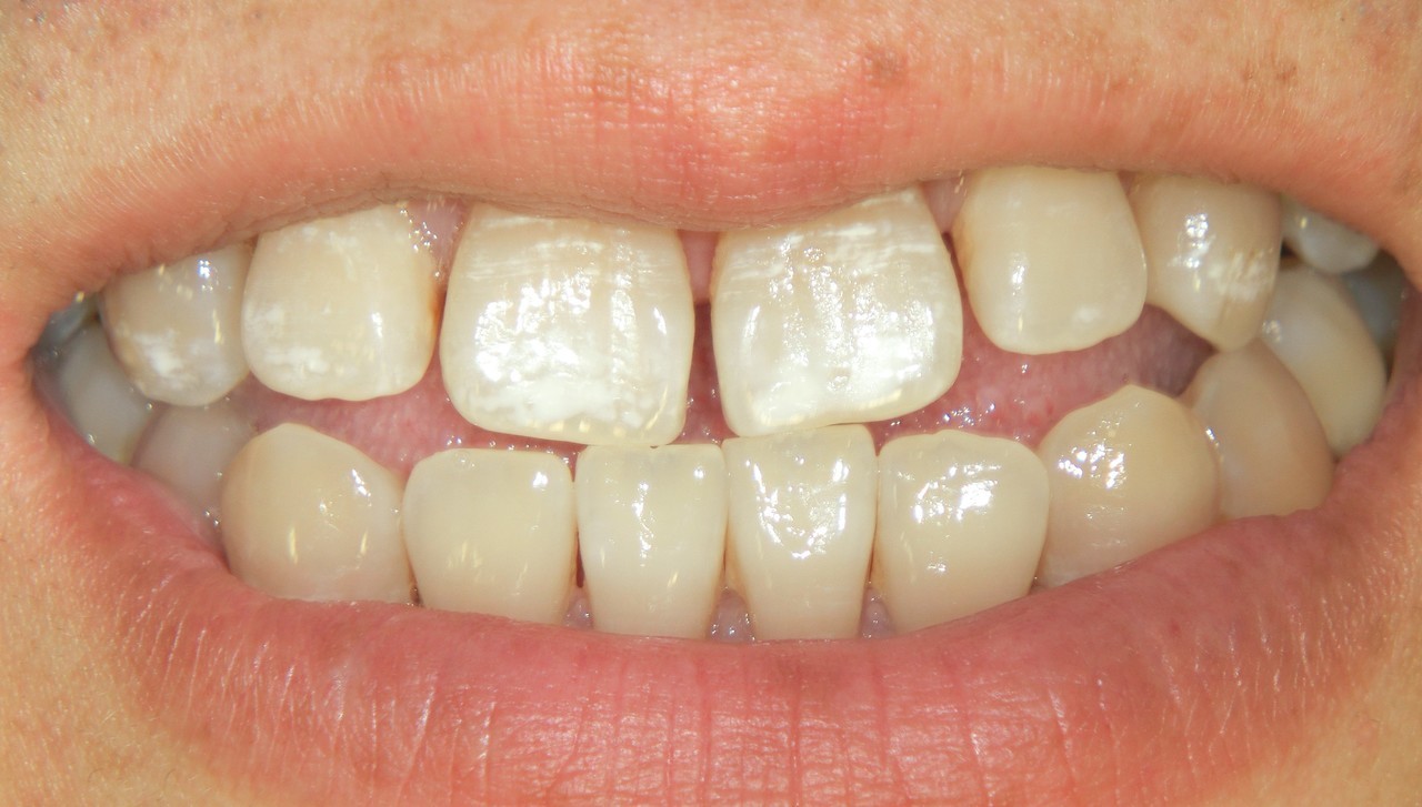
前歯すき間をダイレクトボンディングで治療


【治療前】




【治療後】

 

 

 

治療期間 1回から2回 初診検査+ダイレクトボンディング

費用    初診診査 3500円

      2本ダイレクトボンディング 15000×2本

     合計 33500円+税

ひかり歯科 院長 佐生 光也 症例



歯のすき間をダイレクトボンディングで治療

 歯肉退縮によるブラックトライアングル症例

【治療前】歯と歯のすき間があり

黒く見えるブラックトライアングルと呼ばれ老けた印象

となる

【治療後】すき間を埋めると若々

しい印象となる

 

治療期間 1回から2回 初診検査+ダイレクトボンディング

費用    初診診査 3500円

      2本ダイレクトボンディング 15000×2本

     合計 33500円+税

ひかり歯科 院長 佐生 光也 症例

 

 



歯のすき間をダイレクトボンディングで治療

 

 

 

治療期間 1回 初診検査+ダイレクトボンディング

費用    初診診査 3500円

      2本ダイレクトボンディング 15000×2本

     合計 33500円+税

ひかり歯科 院長 佐生 光也 症例




前歯すき間をダイレクトボンディングで治療


【治療前】




【治療後】

 

 

 

治療期間 1回 初診検査+ダイレクトボンディング

費用    初診診査 3500円

      2本ダイレクトボンディング 15000×2本

     合計 33500円+税

ひかり歯科 院長 佐生 光也 症例
2022 デイレクトボンディング15.png


前歯の変色症例

セラミッククラウンで治療

【治療前】

歯の変色があり

【治療後】

前歯6本をセラミックに

取り換え 

清涼感のある口元に

一般歯科費用 30000円前後

内容 冠除去、虫歯除去、歯石除去、仮歯作成

審美歯科治療

セラミック6本クラウン

294,000+税

※同じ治療を受けた場合 県内で60万程度の費用

都内では60〜200万程度の費用がかかることが多い

ようです。

ひかり歯科では、審美歯科費用が低価格なため

特に都内からご来院いただく事が多くございます。

治療期間 5回から10回

ひかり歯科 院長 佐生 光也 症例






前歯すき間をダイレクトボンディングで治療



【治療前】





【治療後】

 

 

 

治療期間 1回から2回 初診検査+ダイレクトボンディング

費用目安 33500+税

ひかり歯科 院長 佐生 光也 症例



歯のすき間と歯ぐきの変色 

CIMG2045.JPG

【治療前】

冠が古く歯ぐきのラインが黒くな

って見た目が悪くなっている

歯のすき間が目立つ

【治療後】

古い冠をセラミックに入れ替え

歯ぐきラインもキレイに整える

一般歯科費用 40000円前後

内容 冠除去、虫歯除去、歯石除去、仮歯作成

審美歯科治療

セラミックメタルボンド6本

294,000+税

ひかり歯科 院長 佐生光也 症例

審美歯科治療は高額になることが多い

ですが、ひかり歯科では多くの方に

審美歯科治療を受けて頂くために

良心的な費用設定にしております。

特に都内で見積もりとり治療費が高額と

なりネット検索から来院される方も多く

おられます。



前歯すき間をダイレクトボンディングで治療


【治療前】




【治療後】

 

 

 

治療期間 1回 初診検査+ダイレクトボンディング

費用    初診診査 3500円

      2本ダイレクトボンディング 15000×2本

     合計 33500円+税

ひかり歯科 院長 佐生 光也 症例

 



前歯すき間をダイレクトボンディングで治療


【治療前】




【治療後】

 

 

 

治療期間 1回 初診検査+ダイレクトボンディング

費用    初診診査 3500円

      2本ダイレクトボンディング 15000×2本

     合計 33500円+税

ひかり歯科 院長 佐生 光也 症例




変色した詰め物をダイレクトボンディングで治療


【治療前】

歯と歯の間

詰め物変色



【治療後】

ダイレクトボンディング

にて詰めなおし

 

 

 

治療期間 1回 初診検査+ダイレクトボンディング

費用    初診診査 3500円

      2本ダイレクトボンディング 15000×2本

     合計 33500円+税

ひかり歯科 院長 佐生 光也 症例




前歯すき間をダイレクトボンディングで治療

【治療前】

【治療後】

 

 

 

治療期間 1回 初診検査+ダイレクトボンディング

費用    初診診査 3500円

      2本ダイレクトボンディング 15000×2本

     合計 33500円+税

ひかり歯科 院長 佐生 光也 症例




前歯すき間をダイレクトボンディングで治療

【治療前】


【治療後】

 

 

 

治療期間 1回 初診検査+ダイレクトボンディング

費用    初診診査 3500円

      2本ダイレクトボンディング 15000×2本

     合計 33500円+税

ひかり歯科 院長 佐生 光也 症例

 



治療法:ダイレクトボンディング


前歯すき間をダイレクトボンディングで治療

【治療前】


【治療後】

 

 

 

治療期間 1回 初診検査+ダイレクトボンディング

費用    初診診査 3500円

      2本ダイレクトボンディング 15000×2本

     合計 33500円+税

ひかり歯科 院長 佐生 光也 症例

 



治療法:ダイレクトボンディング


前歯すき間をダイレクトボンディングで治療

主訴:下の歯のすきっ歯が気になりマスクをすることがある


【治療前】

 下の歯にすき間がある


【治療後】

 

歯を削らずすき間を埋める

ダイレクトボンディング

 

 

 

治療期間 3から4回 初診検査+ダイレクトボンディング4回

費用    初回  初診診査 3500円

       2回目以降 7本ダイレクトボンディング 15000×7本

 

ひかり歯科 院長 佐生 光也 症例

 




治療法:ダイレクトボンディング


前歯すき間をダイレクトボンディングで治療


【治療前】


【治療後】

 

 

 

治療期間 1回 初診検査+ダイレクトボンディング

費用    初診診査 3500円

      2本ダイレクトボンディング 15000×2本

     合計 33500円+税

ひかり歯科 院長 佐生 光也 症例

 



治療法:ダイレクトボンディング


前歯すき間をダイレクトボンディングで治療


症例1


【治療前】


【治療後】

 

 

 

治療期間 1回 初診検査+ダイレクトボンディング

費用    初診診査 3500円

      2本ダイレクトボンディング 15000×2本

     合計 33500円+税

ひかり歯科 院長 佐生 光也 症例

 


ひかり歯科 院長 佐生 光也 症例





治療法:ダイレクトボンディング


前歯すき間をダイレクトボンディングで治療


【治療前】
【治療後】




治療期間 1回 初診検査+ダイレクトボンディング

費用    初診診査 3500円

      2本ダイレクトボンディング 10000×2本

     合計 23500円+税

ひかり歯科 院長 佐生 光也 症例


ひかり歯科 院長 佐生 光也 症例




ダイレクトボンディング

歯のすき間を治す方法には

①歯列矯正

②セラミック修復 (歯を削りセラミックの歯をかぶせる)

③ダイレクトボンディング

があります。どの方法も利点欠点があります。


①②③の利点欠点

費用5万〜20万期間は数か月〜1年歯を削らずに治療可能 ・食事制限なし

費用6万〜16万期間は2から3回  ・歯を削る必要あり    ・食事制限なし   

費用2万〜3万 ・期間は2回      ・歯を削る必要なし    ・食事制限あり


ダイレクトボンディング最大の欠点が歯を削らず接着させているため

硬いものを食べることや前歯で噛み千切る等をすると割れることがある。


割れてもまた詰めなおすことが可能です。


ダイレクトボンディング、食事制限を守っていただければ長く保つことが可能です。


2022 デイレクトボンディング15.png



前歯の変色を治す

原因 虫歯により歯の神経が死ぬ→歯の神経除去→時間の経過で歯の変色

DSCN1968_crop.jpg

 

DSCN1972_crop.jpg

 

 根元が黄色く

変色

 

 

 

 

白く治す

 

 

 

種類 ダイレクトボンディング

回数 1回から2回 

時間 1本に付き30分

費用 1本10000円

歯の隙間を治す ①

種類 ダイレクトボンディング

回数 1回から2回 

時間 1本に付き30分

費用 1本10000円

 

歯の隙間を治す ②

種類 ダイレクトボンディング

回数 1回から2回 

時間 1本に付き30分

費用 1本10000円

 

 

院長のコメント

ダイレクトボンディングはほとんど歯を削らずに

詰め物を接着させることにより歯の形を変える

ことが可能です。

耐久性を重視する場合はセラミック治療をお勧め

します。

ひかり歯科治療の紹介

ひかり歯科 セラミックダイレクトボンディングクリニックでは

①きわだつ白さの汚れにくく耐久性抜群【プレミアムセラミックジルコニア】

透明感のある自然な仕上がり【ナチュラルセラミックemax】

ほとんど歯を削らないセラミック【ナチュラルセラミックラミネートべニア】

④歯のすき間・小さい銀歯を白く 【ダイレクトボンディング】

①②③④の審美歯科治療症例数が多いクリニックです

歯をキレイにしたい患者さんが多く来院されております。
審美歯科費用は良心的な設定となっております。
治療前後の画像を多く掲載しております

治療前後

【治療前】
【治療後】

◆セラミック+ダイレクトボンディング症例◆

◆ダイレクトボンディング 歯のすき間(すきっ歯)◆

◆ダイレクトボンディング 歯のすき間(すきっ歯)◆

 ◆ダイレクトボンディング ブラックトライアングル改善◆

◆ダイレクトボンディング 歯の着色・初期虫歯◆

◆ダイレクトボンディング 小さい銀歯の入れ替え◆

詳しくは下記に説明があります、ご覧ください。

2022 デイレクトボンディング15.png
2022 オールセラミック15.2.png

 ※オールセラミック(e-max ジルコニア)については国内歯科技工所にて作成依頼
をしており国内で承認されてない 未承認医薬品医療機器の使用はありません。
医療広告ガイドラインに基づき記載いたします、費用は2020年現在のものとなります。

■ご予約はネットか電話にて■
【24時間ネット予約】

【電話予約】
TEL 0492807881
月・水・金 
10:30~12:30 15:00~20:00
土曜日(1週・3週・5週)
10:00~12:00 14:00~17:00

【 審美歯科 】

 
  笑った時の第一印象を決める口元

 銀歯、口元を老けて見せます、女性を中心に白い歯に変える方増えています。 

 歯のすき間(すきっ歯)即日30分でキレイに治療可能【ダイレクトボンディング】
  

  ・銀歯  白い歯(ハイブリッドセラミック・オールセラミック)

  ・すきっ歯  歯を削らず・痛みもなく・即日30分で治療可能
  ・セラミック歯並び矯正 マウスピース矯正

【審美歯科・セラミックス】

nakaDSCN3171_CROP_crop.jpg

【審美歯科 前歯症例紹介①】

【治療前:前歯変色】 
変色と着色で口元が・・・ 

【前歯 セラミックス治療】
  セラミックスで清潔感のある
  キレイな口元を創造

●治療箇所 
左側前歯(向って右)前歯に差し歯交換・セラミック治療
左側前歯 変色した詰め物をダイレクトボンディングで治療

セラミッククラウン  ダイレクトボンディング 

上記治療費用 目安

初診検査 3500

ダイレクトボンディング 1か所 15000

グラスファイバーコア(土台) 10000

仮歯 2000

歯型  5000

セラミッククラウン 69800

装着調整費用 5500


治療回数目安 3回~5回

【審美歯科 前歯セラミック症例紹介②】

●治療箇所 
左右2番目のは変色あり(歯の神経が死んだ状態)
●費用 

セラミッククラウン   
【オールセラミックe-max】 

上記治療費用目安

初診検査 3500

グラスファイバーコア 10000×2本

仮歯 2本  2000×2本

歯型 5500

セラミッククラウン 69800×2本

調整装着費用   5500



治療回数目安 3回~6回

■ポイント■

前歯はオールセラミック(e-max,ジルコニアボンドセラミック)
が機能性・耐久性・審美性の面でゴールドスタンダード

 

オールセラミック 利点
金属アレルギーリスクがない
審美性 見た目が天然歯よりキレイ
歯ぐきが黒くなりにくい

 

オールセラミック 欠点
費用がある程度かかる

 

 
2022 オールセラミック15.png

※上記費用は2020年現在のもの 最新費用はページ最上部をご覧ください

【審美歯科・奥歯症例】

 【治療前:笑うと見える銀歯】 
  ギラッとひかる銀色の奥歯・・

【ハイブリッドセラミックス】
  清潔感のある白い歯
   大きく口を開けられます。

●白い歯(セラミックス)
ハイブリッドクラウン 3本

 

上記費用目安

初診検査 3500

グラスファイバーコア 20000×2本 15000×1本

仮歯 2000×3本

歯型 5500

ハイブリッドセラミック 39800×3本

調整装着費用 5500

 

 ■ポイント■
ハイブリッドセラミッククラウン
比較的安価で白い歯が可能、やや耐久性に問題があり
噛み合わせ強い方や歯ぎしりのある方は適応から外れる
 
●利点
奥歯では十分なキレイさ(審美性)
費用が比較的安い  
 
●欠点
セラミックに比べて 見た目や耐久性は劣る
 

銀歯を白い歯に治療
ダイレクトボンディング治療

 

金属除去すると虫歯が、、
虫歯をキレイに除去して
白い歯に替える治療を行いました。

 

治療前

金属除去すると
黒い虫歯がありました

虫歯を取り除き
ダイレクトボンディング

 

費用目安

初診検査 3500

ダイレクトボンディング 29800

治療回数 2回

 

ひかり歯科 院長 佐生光也 症例

【治療前】
歯のすき間(すきっ歯)目立つ

 

【審美歯科症例 ダイレクトボンディング】
歯の隙間をダイレクトボンディングで埋める

歯を削らず、短期間で治療が完了する治療方法

■前歯のすき間治療① 

【治療後】
ダイレクトボンディングで1回で改善

費用目安

初診検査3500

ダイレクトボンディング(すき間1つ)30000

治療回数 2回

 

【審美歯科症例ダイレクトボンディング】

 ■前歯のすき間治療②

【治療前】

前歯歯と歯の間に隙間がある

CIMG0550g.jpg

【治療後】

ダイレクトボンディングで改善

費用目安

初診検査3500

ダイレクトボンディング(すき間1つ)30000

治療回数 2回

 

【審美歯科症例ダイレクトボンディング】

 ■前歯のすき間治療③

DSCN3665_crop.jpg

【治療前】

正中離開 歯の隙間大きい

DSCN3666_crop.jpg

【治療後】

ダイレクトボンディングで改善
前歯のダイレクトボンディング

費用目安 
初診検査料    3,500

一つの隙間につき 30,000
期間 

2回

 

合計 33,500+税
2回の来院で治療可能

 

ダイレクトボンディングのポイント
直接的にセラミック配合された合成樹脂を数層重ねで歯に
接着させる治療方法

 

●利点
歯を削る事がほとんど無い
痛みがほとんど無い
1ヶ所であれば1日で治療が完了する

 

●欠点
一生はもたない(2年~5年程度で入れ替え)
過度な使用、歯ぎしりがあると割れることがある

【審美歯科症例ダイレクトボンディング】
 ■前歯のすき間治療④
 
前歯のすき間を埋める

【治療前】
歯の隙間目立つ

【治療後】

ダイレクトボンディングで改善

費用目安

初診検査3500

ダイレクトボンディング(すき間1つ)30000

治療回数 2回

 

 
【審美歯科症例 ダイレクトボンディング】
 ■前歯のすき間治療⑤

【治療前】

歯の隙間 複数

【治療後】

ダイレクトボンディングで
歯の隙間 改善

【審美歯科症例 ダイレクトボンディング】
銀歯を白い歯に入れ替え
  ■奥歯の銀歯を白くする治療①

【治療前】
銀の詰め物

【治療後】
銀歯をダイレクトボンディング
で白い歯へ

【審美歯科症例ダイレクトボンディング】

  ■奥歯の銀歯を白くする治療②

【治療前】

銀歯の詰め物

【治療後】
ダイレクトボンディングで

銀歯を白い歯へ

【審美歯科症例 ダイレクトボンディング】

  ■奥歯の銀歯を白くする治療③

銀歯を白く

【治療前】

奥歯に銀歯2か所

【治療後】

奥歯の銀歯をダイレクト
ボンディングで白い歯へ

●奥歯ダイレクトボンディング

費用
初診検査料 3500円

29800円×2本


期間
2回から4回

【 ホワイトニング 】 米国式ホワイトニングで白い歯を!
  ひかり歯科のでは低価格で良質なホワイトニングを提供します。

費用目安 片顎(上の歯or下の歯) 10000+税

内容:ホワイトマウスピース+薬代(3から4週分)

薬追加 3g 1から2週分 3000+税
 

【ホワイトニング①】
上下歯の色の違いを見てください
上がホワイトニング後
下が未治療です。
(すべての画像はクリックで大きくなります) 
●分かりやすいように上下別々に時間差で治療

ホワイトニング②

 治療前  
 日本人典型の黄色い歯 

治療後
 白く・透明感のある白い歯

上下同時治療症例

【ホワイトニング③】

上下歯の色の違いを見てください
上がホワイトニング後
下が未治療です。

 

●分かりやすいように上下別々に時間差で治療
 

●ホワイトニング手順
①歯型とり ②ホワイトニング用マウスピース作成 ③自宅で1日2時間ホワイトニング
④2週から4週で治療終了
●メリット
歯を削ることなく白くできるのがメリット
セラミック治療に比べると低費用
●リスク
一時的に知覚過敏症状が出る場合がある
ホワイトニングは白くなるスピードと仕上がりに
個人差がある
詰め物など人工物は白くならない

【 インプラント 】

  • せんべいが食べられた! 
  • 厚いお肉が食べたれた!
  • 入れ歯の異物感から開放された!
  • 入れ歯に比べ食べ物が美味しく感じる。
  • 旅行中入れ歯をはずして洗うのを見られるてショックでインプラントにした。
  •  歯周病で歯が抜け始めたので歯止めを利かせる意味から(インプラントは

  他の歯の負担を減らせると聞いた)インプラントにした。
  インプラント患者さんから、上記ご意見を頂いております。 


ひかり歯科【インプラント】 症例紹介
 

 ① 右下奥歯インプラント2本埋入
インプラント2本入れたため右下の部分義歯を使う必要がなくなる。

【ミラー像のため左右逆】
②右上奥歯インプラント1本埋入

【治療前】
【治療後】

③ 右上奥歯インプラント1本埋入
   ソケットリフト 上顎洞挙上併用

左下奥歯3本インプラント埋入

下顎部分義歯から開放され快適な食生活

インプラント治療手順
 ①術前診断CT撮影 ②インプラント手術(1時間程度)③上部構造装着④メンテナンス
●メリット
他の歯の負担が軽減する
他の歯を削る必要が無い
●デメリットとリスク
外科処置を伴う
費用が高額になることが多い
インプラントが歯周病になることがある
定期的なメンテナンスが必要

【ダイレクトボンディング】
   なるべく削らず・キレイに治す

①前歯の虫歯

【治療前】
虫歯除去時 

【治療後】
キレイに治す

②前歯の離開【正中離開】

【治療前】
 前歯歯と歯の間がすいている

【治療後】
 白い詰め物で改善

【治療前】 
前歯に隙間あり

【治療後】
歯を削らずに改善

③水銀合金の銀歯の詰め替え

【治療前】 
 光沢の無い銀の詰め物
はアマルガム(水銀含有)
の可能性あり。

【治療後】 
 水銀合金を除去
し白い詰め物で治療

2022 デイレクトボンディング15.png

【義歯(入れ歯)の破損を即日修理①】

前歯脱落

直接修理

費用 1500円~3000円  回数1~2回

【義歯(入れ歯)の破損を即日修理②】

前歯脱落

即日修理

費用 1500円~3000円  回数1~2回

義歯(入れ歯)修理治療手順
 義歯破損部位を歯科用合成樹脂にて修復
注意事項 治療リスク因子
 義歯修理は義歯劣化が激しい場合早期に破損する場合がある

 また、状態により修理不能な場合がありその場合作成となる

  
 【粘膜疾患 頬粘膜癌 】

在宅医療にて口腔癌
頬粘膜癌の一例 

処置 

高次医療機関(大学病院口腔外科)に紹介
紹介後頬粘膜癌と確定診断を受ける 

血圧の薬が歯周病悪化させる?
 【血圧の薬服用による歯肉肥大増殖症】①

70歳男性 ニフェジピンに

 よる下顎前歯歯茎の増殖

歯肉増殖は歯周病悪化原因の歯周ポケットを形成する
ため原因薬剤の変更及び歯周病治療が必要
治療法 内科医と相談の上投薬変更 歯周病治療

血圧の薬服用による歯肉肥大増殖症】②

DSCN1469_crop.jpg

93歳女性 

カルシウム拮抗薬による
下顎前歯歯茎の増殖

50年、長期服用のため 
著しい歯肉増殖

治療法 内科医と相談の上投薬変更 歯周病治療
歯肉増殖は歯周病悪化原因の歯周ポケットを形成する
ため原因薬剤の変更及び歯周病治療が必要

 

坂戸市 ひかり歯科 院長 佐生 光也 症例

お問合せ・ご相談

お電話でのお問合せ・ご相談はこちら
049-280-7881

受付時間:月・水・金 10:30~12:30 15:00~20:00
土曜日(1週・3週・5週)10:00~12:00 14:00~17:00
24時間ネット予約受付中

完全予約制

お電話で診察予約 

049-280-7881

<受付時間>
月・水・金
10:30~12:30 15:00~20:00
土曜日(1週・3週・5週)
10:00~12:00 14:00~17:00
※24時間ネット予約受付中
新患様はネット予約ご活用ください
既存患者様は公式LINEから
公式LINE  ID :  @385pezdt
予約・変更・キャンセル可能です。

患者番号と生年月日でログイン必要
 

  • ◎【良心価格審美歯科】

  • ●歯が欠けた・すきま

  • ●歯ぐきから出血?歯周病

  • ●口腔外科

  • ●お問い合わせ

  • ●その他診療案内●

  • ●ひかり歯科設備●

  • ●院長・スタッフ紹介

  • ●提携医療機関●

ひかり歯科

住所

〒350-0214
埼玉県坂戸市千代田3丁目11−1 1階

診療時間

月・水・金
10:30~12:30 16:00~20:00
土曜日(1週・3週・5週)
10:00~12:00 14:00~17:00
※24時間ネット予約受付中