〒350-0214 埼玉県坂戸市千代田3丁目11−1  1階

ご予約は24時間ネット予約が便利です

営業時間:月・水・金 10:30~12:30 16:00~20:00
土曜日(1週・3週・5週)10:00~12:00 14:00~17:00

24時間ネット予約受付中
049-280-7881

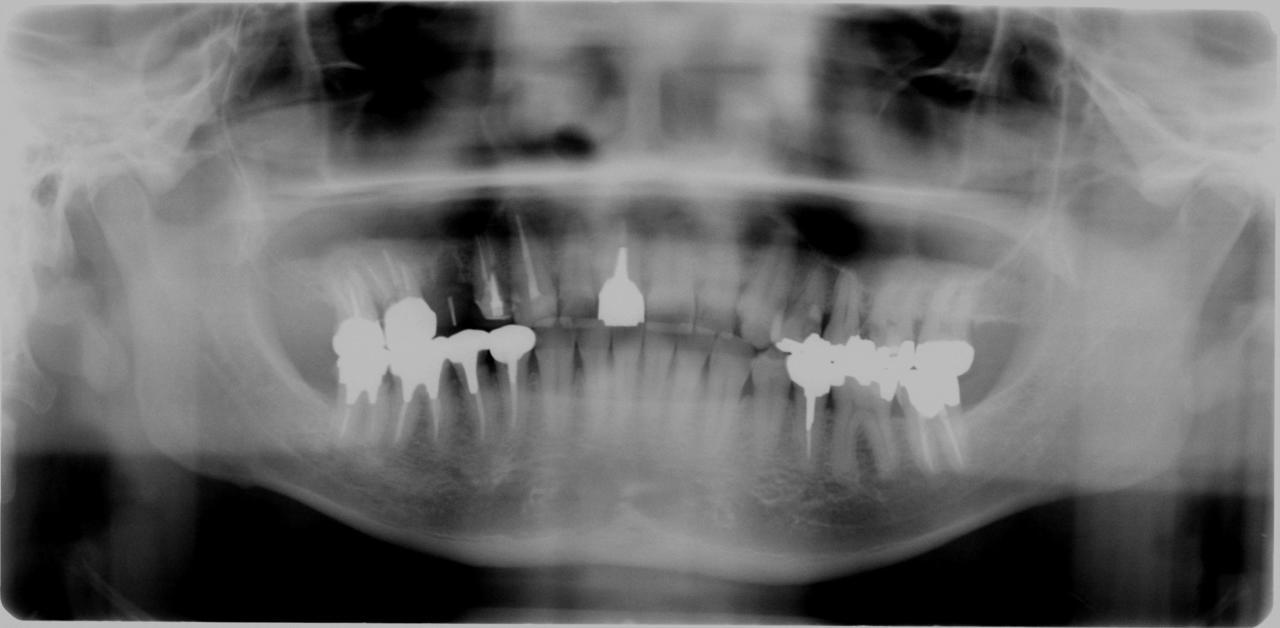
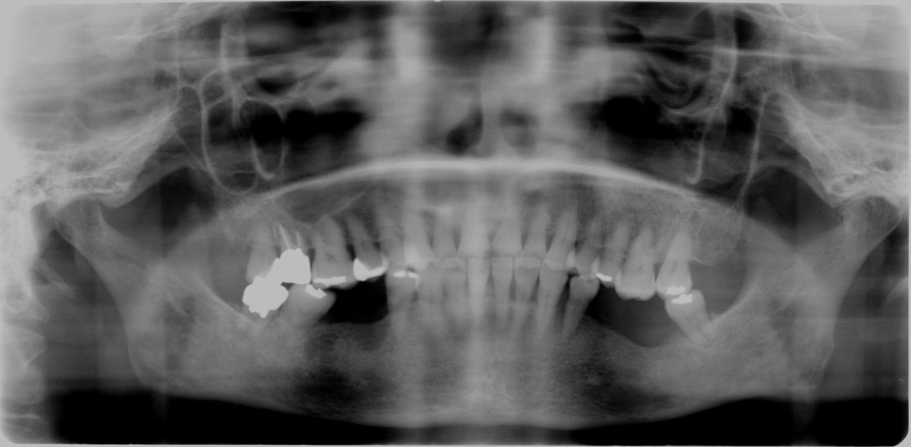
【インプラント症例紹介】

下顎臼歯部 3本インプラント埋入症例

症例 70代 男性

主訴 入れ歯からインプラントに変えたい

     【術前レントゲン写真】      【術後レントゲン写真】

インプラント埋入手術費用 

150000×3本=450000円+税

ひかり歯科 院長 佐生 光也 症例

「脳梗塞の既往歴がある抗血小板薬

    服用患者さんのインプラント症例 」

50代女性 

奥歯を入れるにあたり、ブリッジ・義歯

インプラントを説明したところ インプラン

ト治療を希望

全身状態 

  • 既往歴として脳梗塞あり
  • 現在抗血小板薬服用中
  • インプラント前に出血傾向検査

出血は問題ないため抗血小板薬服用

状態でインプラント処置を行った。

治療期間 約2ヶ月

手術回数 1回 

費用 150,000円(インプラント埋入処置費用)

    29,000円(人工歯装着費用)

【インプラント処置直後】

【インプラント処置4週後】

手術直後の写真2針縫合

 

【仮歯装着時】

ひかり歯科のインプラントは1ヶ月でインテ

グレーション骨結合(癒合)することが多い。

【人工歯装着・治療終了】 

   インプラント噛み合わせ

   インプラント側面

 (左端の白い歯が

 インプラント)

インプラントは通常3から6ヶ月の治療期間がかかり

ますが、ひかり歯科ではほとんどの場合2から3ヶ月

の治療期間で済みます。

坂戸市 ひかり歯科

院長 佐生 光也 症例

造骨と同時にインプラントを行った症例

(骨が足りなくてもインプラント可能)

40代男性

主訴 歯が割れてしまい抜歯になった所にインプラントを入れたい。

術式 DSRサイナスリーマーによるサイナスリフト(ソケット)

※インプラントを入れるには骨が足りないため造骨処置併用

内容 骨補填剤は利用せず、100%自家骨でグラフトしインプラント埋入

 【ソケットリフト模式図】

上顎洞まで4〜5mm 

 通常インプラント不可能

【ソケットリフト後】

実際のレントゲン 

上顎洞を押し上げ自家骨を

移植しインプラント埋入

【治療前】


 

【治療後】

【口腔内写真】 

 

【治療前】 

 【インプラント埋入手術後】

 

【人工歯装着時】 

治療期間 3ヶ月

費用 インプラント舞入手術 150000円(基本手術)

    ソケットリフト術         0円 (オプション手術)

       人工歯                   29000円

   ひかり歯科  合計費用 179000円(税別)

参考埼玉県内平均価格

  インプラント埋入費 25〜30万

  ソケットリフト     3〜5万

  人工歯        5〜8万

         参考費用 33万〜43万

   ひかり歯科 院長 佐生 光也 症例

 「ヘビースモーカー患者さんの

           インプラント症例 」

50代 男性

上顎大臼歯を歯周病で失ったため

ブリッジ・義歯・インプラントを説明した

ところ インプラン ト治療を希望

全身状態 

  • 全身疾患なし 
  • 喫煙 1パック/day 

喫煙者は治癒不全及び骨代謝が悪く

インプラント治療の失敗リスクあり。 

治療期間 約4ヶ月

※喫煙者は骨結合に時間がかかる

手術回数 1回 

費用 150,000円(インプラント埋入処置費用)

    29,000円(人工歯装着費用)

【インプラント処置前】

【インプラント処置1ヶ月後】

【治療終了時・人工歯装着】

      坂戸市 ひかり歯科

      院長 佐生 光也 症例 

【インプラントの歯型】

 

 

 

 

 

 

 

 

 

 

 

 

 

 

 

【人工歯作成後】

 

 

 

インプラント人工歯

作成経験豊富な

歯科技工士が作成

しております。

 

         坂戸市 技工所 ハイテック 作成

 

 

インプラント・審美歯科技工は主に坂戸市内の

技工所に作成依頼しております。

保険内診療の技工は坂戸市内及びさいたま市内

技工所に依頼しております。

 

技工所

 エイムネット さいたま市

 インペリアル さいたま市

 平成デンタル 坂戸市

 ハイテック   坂戸市

平成23年 症例一部紹介

50代女性

主訴 

・部分入れ歯を使っているが入れていると気持ち悪くなる

・入れ歯のバネがかかる隣の歯が揺れてきてこのまま入れ歯 を使っていくと歯がダメにならないか心配。

知人にすすめられインプラントを希望しひかり歯科来院

インプラントは入れ歯のような違和感がないこと、隣の歯に負担をかける事がない等、メリットを説明しインプラント治療開始

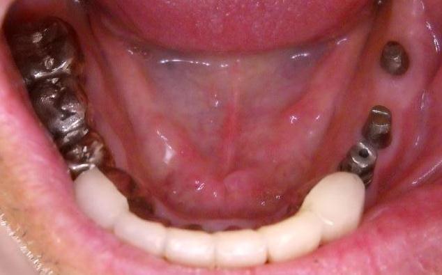
23年4月 右下インプラント2本埋入処置

右             左              

術前レントゲン

 

【治療前】

術直後レントゲン

【インプラント埋入時

 

 

左       右

 

 

 

 

 

 

 

人工歯装着時】

 

 

 

 

 

 

【側面】

術後2本インプラント埋入

費用 インプラント埋入2本 

    150000円×2本=300000円(税抜)

埋入処置後2ヶ月で人工歯を入れることができます

人工歯を入れるときに1本29000円費用がかかります。

合計 インプラント2本人工歯2本

    150000×2本+29000×2本=358000円

インプラント1本あたりの

埼玉県内の平均インプラント費用が350000円です。

ひかり歯科のインプラントは良心的な費用設定になっております。

ひかり歯科インプラント1本あたりの費用人工歯を含むと179000円

インプラントは費用が高額となりますが、おいしい食事・よく噛める

他の歯の負担が減り寿命が延びることなど今まで入れ歯では得ら

れなかったライフスタイルを得ること ができます。

ご相談は随時受け付けています。

気軽に049−280-7881まで相談の予約をお入れください。

坂戸市 ひかり歯科

院長 佐生 光也 症例

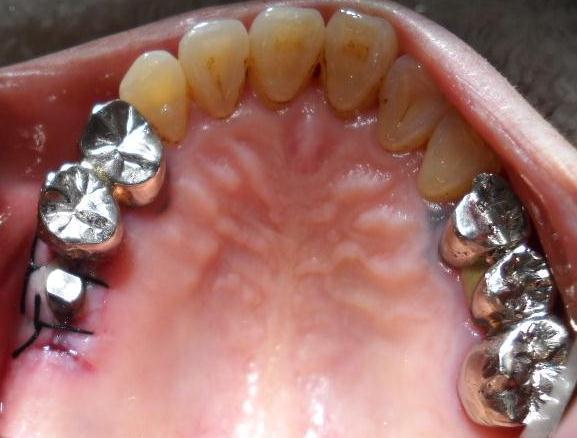
左上インプラント症例

64歳女性

  • 8本歯を失い入れ歯使用中だが、入れ歯では食べたい ものが食べられない。
  •  友人等とグルメツアーなど旅行に行っても美味しいものを 食べられずストレスとなる。
  • 若いころのように何でも食べられるようになりたい。
  •  これ以上歯を失うのリスクを回避したい。

上記によりインプラント治療を希望。

 

 

治療前

 

 

 

治療後

 

 

詳細レントゲン

 

 

 

 

 

 

 インプラント埋入(植え込み)

 4週経過時

 の口腔内写真

 

 

 

 2週から3週で

 仮歯装着

 

 

 

 

 

 ひかり歯科 

インプラント埋入1本150000円

人工歯 29000 円(ハイブリッドセラミックス)

インプラント1本トータル費用 179000+税

ひかり歯科では保険外費用を埼玉県内の平均費用の5割〜7割に抑え

良心的な価格で提供しております。

インプラントは特に高額になることが多く埼玉県では35万〜40万が平均

となっております。

                     埼玉医大提携医療機関 ひかり歯科

                                院長 佐生 光也

 ●対応可能インプラントシステム (2010年更新)

 海外システム(チタン)

  ストローマン(ITI)インプラント (チタン)

  費用:30万〜45万

 国内システム(チタン+HAコーティング) 

  アルファタイトインプラント (チタン)

  μ-oneインプラント (HAコーティングチタン)

   AQBインプラント(HAコーティングチタン)

   費用:15万〜20万

●インプラント設備

 インプラントモーター(スイス製シロプロ)

 OAMインプラントシステム

 血圧・酸素飽和度計測器  

 生体監視装置モニター 

●インプラント治療担当医師

 ひかり歯科では、院長 佐生 光也が行います。

●インプラントついて院長の独り言

インプラントって安全??

インプラントについて「安全なの?」って良く聞かれます。

術前診断さえ間違えなければ」安全と答えています。

だだし、偶発症や医療事故が少ないですが報告されてい

ます。

インプラント偶発症

①一番多いのが、骨にインプラントがつかないケース

これは、100人インプラントすると2〜5人程度の方に起こる

偶発症です。

対応策 ひかり歯科 では、インプラントが骨につかなかった

場合、治療費無料で 再インプラントを行っております。

②上顎のインプラントが上顎洞に迷入

上顎で骨が少ない方はインプラントが上顎洞に入り込んでし

まう場合があります。

この原因は 適切な診断・治療計画の不備によるものが多と

いえます。

対応策 ひかり歯科では埼玉医大病院提携しております。

経験豊富な口腔外科医連携し、治療計画の段階から症例

検討を行っております。

チーム医療としてインプラントに取り組んでおりますので上顎

洞迷入や神経障害は1例もありません。

ひかり歯科では 

埼玉医大協力の下、適切な診断を行っています。

③ドリルによる下歯槽神経・動脈損傷

この神経損傷と動脈損傷が重篤な医療事故につながり

やすく注意が必要。

対応策:ひかり歯科ではドリルによるインプラント以外に

安全性の高いドリルを使わない インプラント(OAMイン

プラント)の対応可能です。

ドリルを使わないので動脈や神経を傷つけることがありせん

最後に、

歯科医師である私が受けたいインプラント治療はどんなものか?

と言うと 何より

「安全性が高く」・「痛みが少なく」・「費用が負担が少ない」ですね。

 

ひかり歯科では

「安全性が高く」・「痛みが少なく」・「費用負担が少ない」

インプラント治療目指しております。

 

ひかり歯科治療の紹介

ひかり歯科 セラミックダイレクトボンディングクリニックでは

①きわだつ白さの汚れにくく耐久性抜群【プレミアムセラミックジルコニア】

透明感のある自然な仕上がり【ナチュラルセラミックemax】

ほとんど歯を削らないセラミック【ナチュラルセラミックラミネートべニア】

④歯のすき間・小さい銀歯を白く 【ダイレクトボンディング】

①②③④の審美歯科治療症例数が多いクリニックです

歯をキレイにしたい患者さんが多く来院されております。
審美歯科費用は良心的な設定となっております。
治療前後の画像を多く掲載しております

治療前後

【治療前】
【治療後】

◆セラミック+ダイレクトボンディング症例◆

◆ダイレクトボンディング 歯のすき間(すきっ歯)◆

◆ダイレクトボンディング 歯のすき間(すきっ歯)◆

 ◆ダイレクトボンディング ブラックトライアングル改善◆

◆ダイレクトボンディング 歯の着色・初期虫歯◆

◆ダイレクトボンディング 小さい銀歯の入れ替え◆

詳しくは下記に説明があります、ご覧ください。

2022 デイレクトボンディング15.png
2022 オールセラミック15.2.png

 ※オールセラミック(e-max ジルコニア)については国内歯科技工所にて作成依頼
をしており国内で承認されてない 未承認医薬品医療機器の使用はありません。
医療広告ガイドラインに基づき記載いたします、費用は2020年現在のものとなります。

■ご予約はネットか電話にて■
【24時間ネット予約】

【電話予約】
TEL 0492807881
月・水・金 
10:30~12:30 15:00~20:00
土曜日(1週・3週・5週)
10:00~12:00 14:00~17:00

【 審美歯科 】

 
  笑った時の第一印象を決める口元

 銀歯、口元を老けて見せます、女性を中心に白い歯に変える方増えています。 

 歯のすき間(すきっ歯)即日30分でキレイに治療可能【ダイレクトボンディング】
  

  ・銀歯  白い歯(ハイブリッドセラミック・オールセラミック)

  ・すきっ歯  歯を削らず・痛みもなく・即日30分で治療可能
  ・セラミック歯並び矯正 マウスピース矯正

【審美歯科・セラミックス】

nakaDSCN3171_CROP_crop.jpg

【審美歯科 前歯症例紹介①】

【治療前:前歯変色】 
変色と着色で口元が・・・ 

【前歯 セラミックス治療】
  セラミックスで清潔感のある
  キレイな口元を創造

●治療箇所 
左側前歯(向って右)前歯に差し歯交換・セラミック治療
左側前歯 変色した詰め物をダイレクトボンディングで治療

セラミッククラウン  ダイレクトボンディング 

上記治療費用 目安

初診検査 3500

ダイレクトボンディング 1か所 15000

グラスファイバーコア(土台) 10000

仮歯 2000

歯型  5000

セラミッククラウン 69800

装着調整費用 5500


治療回数目安 3回~5回

【審美歯科 前歯セラミック症例紹介②】

●治療箇所 
左右2番目のは変色あり(歯の神経が死んだ状態)
●費用 

セラミッククラウン   
【オールセラミックe-max】 

上記治療費用目安

初診検査 3500

グラスファイバーコア 10000×2本

仮歯 2本  2000×2本

歯型 5500

セラミッククラウン 69800×2本

調整装着費用   5500



治療回数目安 3回~6回

■ポイント■

前歯はオールセラミック(e-max,ジルコニアボンドセラミック)
が機能性・耐久性・審美性の面でゴールドスタンダード

 

オールセラミック 利点
金属アレルギーリスクがない
審美性 見た目が天然歯よりキレイ
歯ぐきが黒くなりにくい

 

オールセラミック 欠点
費用がある程度かかる

 

 
2022 オールセラミック15.png

※上記費用は2020年現在のもの 最新費用はページ最上部をご覧ください

【審美歯科・奥歯症例】

 【治療前:笑うと見える銀歯】 
  ギラッとひかる銀色の奥歯・・

【ハイブリッドセラミックス】
  清潔感のある白い歯
   大きく口を開けられます。

●白い歯(セラミックス)
ハイブリッドクラウン 3本

 

上記費用目安

初診検査 3500

グラスファイバーコア 20000×2本 15000×1本

仮歯 2000×3本

歯型 5500

ハイブリッドセラミック 39800×3本

調整装着費用 5500

 

 ■ポイント■
ハイブリッドセラミッククラウン
比較的安価で白い歯が可能、やや耐久性に問題があり
噛み合わせ強い方や歯ぎしりのある方は適応から外れる
 
●利点
奥歯では十分なキレイさ(審美性)
費用が比較的安い  
 
●欠点
セラミックに比べて 見た目や耐久性は劣る
 

銀歯を白い歯に治療
ダイレクトボンディング治療

 

金属除去すると虫歯が、、
虫歯をキレイに除去して
白い歯に替える治療を行いました。

 

治療前

金属除去すると
黒い虫歯がありました

虫歯を取り除き
ダイレクトボンディング

 

費用目安

初診検査 3500

ダイレクトボンディング 29800

治療回数 2回

 

ひかり歯科 院長 佐生光也 症例

【治療前】
歯のすき間(すきっ歯)目立つ

 

【審美歯科症例 ダイレクトボンディング】
歯の隙間をダイレクトボンディングで埋める

歯を削らず、短期間で治療が完了する治療方法

■前歯のすき間治療① 

【治療後】
ダイレクトボンディングで1回で改善

費用目安

初診検査3500

ダイレクトボンディング(すき間1つ)30000

治療回数 2回

 

【審美歯科症例ダイレクトボンディング】

 ■前歯のすき間治療②

【治療前】

前歯歯と歯の間に隙間がある

CIMG0550g.jpg

【治療後】

ダイレクトボンディングで改善

費用目安

初診検査3500

ダイレクトボンディング(すき間1つ)30000

治療回数 2回

 

【審美歯科症例ダイレクトボンディング】

 ■前歯のすき間治療③

DSCN3665_crop.jpg

【治療前】

正中離開 歯の隙間大きい

DSCN3666_crop.jpg

【治療後】

ダイレクトボンディングで改善
前歯のダイレクトボンディング

費用目安 
初診検査料    3,500

一つの隙間につき 30,000
期間 

2回

 

合計 33,500+税
2回の来院で治療可能

 

ダイレクトボンディングのポイント
直接的にセラミック配合された合成樹脂を数層重ねで歯に
接着させる治療方法

 

●利点
歯を削る事がほとんど無い
痛みがほとんど無い
1ヶ所であれば1日で治療が完了する

 

●欠点
一生はもたない(2年~5年程度で入れ替え)
過度な使用、歯ぎしりがあると割れることがある

【審美歯科症例ダイレクトボンディング】
 ■前歯のすき間治療④
 
前歯のすき間を埋める

【治療前】
歯の隙間目立つ

【治療後】

ダイレクトボンディングで改善

費用目安

初診検査3500

ダイレクトボンディング(すき間1つ)30000

治療回数 2回

 

 
【審美歯科症例 ダイレクトボンディング】
 ■前歯のすき間治療⑤

【治療前】

歯の隙間 複数

【治療後】

ダイレクトボンディングで
歯の隙間 改善

【審美歯科症例 ダイレクトボンディング】
銀歯を白い歯に入れ替え
  ■奥歯の銀歯を白くする治療①

【治療前】
銀の詰め物

【治療後】
銀歯をダイレクトボンディング
で白い歯へ

【審美歯科症例ダイレクトボンディング】

  ■奥歯の銀歯を白くする治療②

【治療前】

銀歯の詰め物

【治療後】
ダイレクトボンディングで

銀歯を白い歯へ

【審美歯科症例 ダイレクトボンディング】

  ■奥歯の銀歯を白くする治療③

銀歯を白く

【治療前】

奥歯に銀歯2か所

【治療後】

奥歯の銀歯をダイレクト
ボンディングで白い歯へ

●奥歯ダイレクトボンディング

費用
初診検査料 3500円

29800円×2本


期間
2回から4回

【 ホワイトニング 】 米国式ホワイトニングで白い歯を!
  ひかり歯科のでは低価格で良質なホワイトニングを提供します。

費用目安 片顎(上の歯or下の歯) 10000+税

内容:ホワイトマウスピース+薬代(3から4週分)

薬追加 3g 1から2週分 3000+税
 

【ホワイトニング①】
上下歯の色の違いを見てください
上がホワイトニング後
下が未治療です。
(すべての画像はクリックで大きくなります) 
●分かりやすいように上下別々に時間差で治療

ホワイトニング②

 治療前  
 日本人典型の黄色い歯 

治療後
 白く・透明感のある白い歯

上下同時治療症例

【ホワイトニング③】

上下歯の色の違いを見てください
上がホワイトニング後
下が未治療です。

 

●分かりやすいように上下別々に時間差で治療
 

●ホワイトニング手順
①歯型とり ②ホワイトニング用マウスピース作成 ③自宅で1日2時間ホワイトニング
④2週から4週で治療終了
●メリット
歯を削ることなく白くできるのがメリット
セラミック治療に比べると低費用
●リスク
一時的に知覚過敏症状が出る場合がある
ホワイトニングは白くなるスピードと仕上がりに
個人差がある
詰め物など人工物は白くならない

【 インプラント 】

  • せんべいが食べられた! 
  • 厚いお肉が食べたれた!
  • 入れ歯の異物感から開放された!
  • 入れ歯に比べ食べ物が美味しく感じる。
  • 旅行中入れ歯をはずして洗うのを見られるてショックでインプラントにした。
  •  歯周病で歯が抜け始めたので歯止めを利かせる意味から(インプラントは

  他の歯の負担を減らせると聞いた)インプラントにした。
  インプラント患者さんから、上記ご意見を頂いております。 


ひかり歯科【インプラント】 症例紹介
 

 ① 右下奥歯インプラント2本埋入
インプラント2本入れたため右下の部分義歯を使う必要がなくなる。

【ミラー像のため左右逆】
②右上奥歯インプラント1本埋入

【治療前】
【治療後】

③ 右上奥歯インプラント1本埋入
   ソケットリフト 上顎洞挙上併用

左下奥歯3本インプラント埋入

下顎部分義歯から開放され快適な食生活

インプラント治療手順
 ①術前診断CT撮影 ②インプラント手術(1時間程度)③上部構造装着④メンテナンス
●メリット
他の歯の負担が軽減する
他の歯を削る必要が無い
●デメリットとリスク
外科処置を伴う
費用が高額になることが多い
インプラントが歯周病になることがある
定期的なメンテナンスが必要

【ダイレクトボンディング】
   なるべく削らず・キレイに治す

①前歯の虫歯

【治療前】
虫歯除去時 

【治療後】
キレイに治す

②前歯の離開【正中離開】

【治療前】
 前歯歯と歯の間がすいている

【治療後】
 白い詰め物で改善

【治療前】 
前歯に隙間あり

【治療後】
歯を削らずに改善

③水銀合金の銀歯の詰め替え

【治療前】 
 光沢の無い銀の詰め物
はアマルガム(水銀含有)
の可能性あり。

【治療後】 
 水銀合金を除去
し白い詰め物で治療

2022 デイレクトボンディング15.png

【義歯(入れ歯)の破損を即日修理①】

前歯脱落

直接修理

費用 1500円~3000円  回数1~2回

【義歯(入れ歯)の破損を即日修理②】

前歯脱落

即日修理

費用 1500円~3000円  回数1~2回

義歯(入れ歯)修理治療手順
 義歯破損部位を歯科用合成樹脂にて修復
注意事項 治療リスク因子
 義歯修理は義歯劣化が激しい場合早期に破損する場合がある

 また、状態により修理不能な場合がありその場合作成となる

  
 【粘膜疾患 頬粘膜癌 】

在宅医療にて口腔癌
頬粘膜癌の一例 

処置 

高次医療機関(大学病院口腔外科)に紹介
紹介後頬粘膜癌と確定診断を受ける 

血圧の薬が歯周病悪化させる?
 【血圧の薬服用による歯肉肥大増殖症】①

70歳男性 ニフェジピンに

 よる下顎前歯歯茎の増殖

歯肉増殖は歯周病悪化原因の歯周ポケットを形成する
ため原因薬剤の変更及び歯周病治療が必要
治療法 内科医と相談の上投薬変更 歯周病治療

血圧の薬服用による歯肉肥大増殖症】②

DSCN1469_crop.jpg

93歳女性 

カルシウム拮抗薬による
下顎前歯歯茎の増殖

50年、長期服用のため 
著しい歯肉増殖

治療法 内科医と相談の上投薬変更 歯周病治療
歯肉増殖は歯周病悪化原因の歯周ポケットを形成する
ため原因薬剤の変更及び歯周病治療が必要

 

坂戸市 ひかり歯科 院長 佐生 光也 症例

お問合せ・ご相談

お電話でのお問合せ・ご相談はこちら
049-280-7881

受付時間:月・水・金 10:30~12:30 15:00~20:00
土曜日(1週・3週・5週)10:00~12:00 14:00~17:00
24時間ネット予約受付中

完全予約制

お電話で診察予約 

049-280-7881

<受付時間>
月・水・金
10:30~12:30 15:00~20:00
土曜日(1週・3週・5週)
10:00~12:00 14:00~17:00
※24時間ネット予約受付中
新患様はネット予約ご活用ください
既存患者様は公式LINEから
公式LINE  ID :  @385pezdt
予約・変更・キャンセル可能です。

患者番号と生年月日でログイン必要
 

  • ◎【良心価格審美歯科】

  • ●歯が欠けた・すきま

  • ●歯ぐきから出血?歯周病

  • ●口腔外科

  • ●お問い合わせ

  • ●その他診療案内●

  • ●ひかり歯科設備●

  • ●院長・スタッフ紹介

  • ●提携医療機関●

ひかり歯科

住所

〒350-0214
埼玉県坂戸市千代田3丁目11−1 1階

診療時間

月・水・金
10:30~12:30 16:00~20:00
土曜日(1週・3週・5週)
10:00~12:00 14:00~17:00
※24時間ネット予約受付中