〒350-0214 埼玉県坂戸市千代田3丁目11−1  1階

ご予約は24時間ネット予約が便利です

営業時間:月・水・金 10:30~12:30 16:00~20:00
土曜日(1週・3週・5週)10:00~12:00 14:00~17:00

24時間ネット予約受付中
049-280-7881

ひかり歯科では可能なものは保険内治療を基本としております。

 (可能な治療は最大限保険診療で行います)

 

保険でカバーできない治療も多くございますので、選択肢のある場合保険内及び保険外治療の両方患者さんに説明しております。

基本的な治療は保険診療、見た目や清掃性、耐久性等高水準な治療を希望であれば保険外治療ををお勧めします。

保険外自費治療費用は埼玉県内平均費用の50%〜70%程度良心価格設定をしております。

保険外診療のお支払いは各種クレジットカード使用可能

 

blog173_1.png


【VISA  MASTER 取り扱い】


【価格帯】

  • 白い詰め物     10000円〜29800円
  • 白いかぶせ物    29000円〜78000円
  • インプラント     150000円〜200000円 
  • ホワイトニング    10000円〜20000円


●● 白い詰め物 ●●

     税別価格:1本  治療回数
 前歯  ダイレクトボンディング  10,000   

 1回

 奥歯

ダイレクトボンディング

(範囲 小) 

 10,000  1回
 奥歯

 ダイレクトボンディング

(範囲 大)

 19,800

 1回

 奥歯  セラミックスインレー  39,000  2回

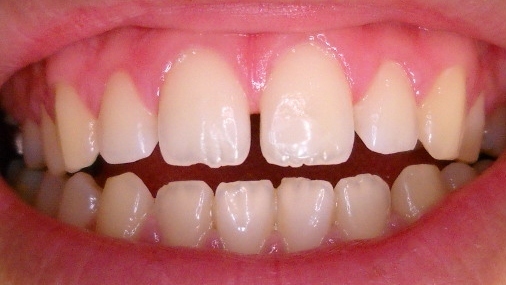
前歯ダイレクトボンディングは 歯の隙間を埋めるのにお勧めです

前歯広範囲のダイレクトボンディングはやや変色リスクがありお勧めし

ておりません

 

●症例の紹介●

 

ダイレクトボンディング 前歯正中離開①】 

 

 

【治療前】 

CIMG0567syu.jpg

前歯隙間が目立つ (すきっ歯)

 大きく口開けて笑うことができない

 

【治療後】

CIMG0568syu.jpg

白い詰め物で隙間を

 

 

埋める自然な笑顔

 治療期間  : 1回程度

初診検査 3500円+税

1つのすき間に対して 費用目安 20000円

                院長 佐生 光也 症例

 

ダイレクトボンディング 前歯正中離開②

【治療前】

前歯隙間(すきっ歯)

 歯と歯の間に隙間あり

【治療後】

歯は削らずに

白い詰め物で

隙間を埋める

 院長 佐生 光也 症例

【ダイレクトボンディング 前歯正中離開③】

 

【治療前】

前歯隙間(すきっ歯)を

悩んでいた 

女性患者さん

【治療後】

歯は削らずに

白い詰め物で

 治しました。

大変満足されておりました

 院長 佐生 光也 症例

 【ダイレクトボンディング正中離開④多数歯】

 

【治療前】

歯の本数が足りず

歯の隙間が多数

あり。

【治療後】

ダイレクトボンディング

にて丁寧に歯の隙間

を埋め目立ちにくく

 

する。

すき間5カ所治療

笑顔で大変満足されておりました

ひかり歯科 院長 佐生 光也 症例

 【ダイレクトボンディング⑤】 

 

【治療前】

【治療後】

院長 佐生 光也 症例

 【ダイレクトボンディング⑥】 

 

【治療前】

【治療後】

ひかり歯科 院長 佐生 光也 症例

 ●症例の紹介●

【ダイレクトボンディング奥歯・大臼歯】 

 

【治療前】

奥歯2本

銀歯が目立つ 

【治療後】

奥歯

自然な歯の

形を造り

詰める

どこが詰め物か分からないと

患者さん大変満足されておりました。

 

治療期間  :  1回

初診検査  :  3500円+税

肥料費用  :  19,800円+税 × 2カ所

 

 

                院長 佐生 光也 症例

【ダイレクトボンディング 奥歯・小臼歯】 

【治療前】

 左下奥歯

 銀歯が目立つ

【治療後】

ダイレクト

ボンデング

(広範囲)

で銀歯を白く

治療期間  :  1回

初診検査  :  3500円+税

治療費用  :  19800円+税

 

 

                院長 佐生 光也 症例

【ダイレクトボンディング 奥歯

 

【治療前】 

銀歯が目立つ 笑うとギラッと光る銀歯 

【治療後】

銀歯を白い歯に治す、大きく口をあけられます

 ダイレクトボンディング(広範囲)

治療期間  :  1回

初診検査  :  3500円+税 

治療費   :  19,800円+税             

 

          院長 佐生 光也 症例

●症例の紹介●

 

ダイレクトボンディング 奥歯小範囲】  

【治療前】 

【治療後】

治療期間  : 1回

費用の目安 : 初診検査料+10,000円程度

 

 

 

                院長 佐生 光也 症例 

【ダイレクボンディング・虫歯症例】

虫歯も白い詰め物でキレイに治す

 

【治療途中】

虫歯除去

直後 

【治療後】

白い詰め物

で見た目も

キレイに

ひかり歯科 院長 佐生 光也 症例  




ダイレクトボンディング利点・欠点(メリット・リスク)

【メリット】 治療期間が短い 歯を削る量が少ない 

【リスク】 咬み合わせが強い部位では破損する場合がある

      変色や破損により 3年〜8年程度で再治療の必要がある

     






●●● 白いかぶせ物  ●●●

【埼玉県平均価格の7割程度良心的な費用システム

  美しさ 耐久性 清掃性 耐変色

費用    

 【グレードS+】

前歯・奥歯

オールセラミックス

ジル͡コニア

S S S S

69,000

【グレードS】

前歯・奥歯

オールセラミックe-max

S
 
A+ S S

59,000

【グレードA】

前歯・奥歯

メタルボンドセラミックス

(ステンレス合金使用)

A− A+ S A

49,000

【グレードB】

適応:奥歯

ハイブリッド

レジンセラミックス

B C B B

39,000

 ●症例の紹介●

 

【グレードS】 オール セラミックス

           +ダイレクトボンディング 

【治療前】

nakaDSCN3171_CROP_crop.jpg

 

前歯の変色が気になる


 【治療後

nakaDSCN3235_CROP_crop.jpg
治療期間  : 3〜4回 費用の目安 : オールセラミックe-max 59,000円         ダイレクトボンディング 10,000円

                 院長 佐生 光也 症例

 

●症例の紹介●

【グレードB】ハイブリッドレジンセラミックス

 

【治療前】 

DSCN1992_CROP_crop_crop.jpg

口を開けると

ギラッと目立つ

銀のかぶせ物

【治療後】

DSCN3241_CROP_crop.jpg

奥歯はハイブリット

 セラミックスで清潔感

 あるキレイな口元

治療期間  : 3回 1本治療につき

費用の目安 : 

ハイブリッドセラミックス39,000円× 3本

                 院長 佐生 光也 症例



◆ オールセラミックスのメリット・リスク ◆

【メリット】

すべてセラミックで構成されているため審美的に優れる

金属を使用していない為金属アレルギーリスクが無い

オールセラミックは変色しない ハイブリッドセラミックスは変色リスクあり

【リスク】 

歯ぎしりが強い場合 破損リスクがある

金属クラウンに比べ歯を削る量がやや多い

歯の神経の除去が必要な場合がある

インプラント基本手術費用  埼玉県内平均費用30万の半額程度】

 【対応可能インプラント】

 【チタン】 ・ ノーベルバイオケア リプレイス ・ 京セラ POI

       ・ ケンテック アルファタイト

 【チタン+HA】 ・ アドバンス AQB ・ 山八歯材 ミューワンHAインプラン

     税別価格(1本)  使用インプラント
 前歯

インプラント埋入

手術費用 

通常 2ピース

 200000円

+税

 ・ 2ピース2回法

 ・ 2ピース1回法

 

 奥歯  

インプラント埋入

手術費用 

1ピースor2ピース

 150000円

+税

 ・2ピース1回法

 ・1ピース1回法

【HAコーティングタイプ

使用】 

     税別価格(1本)  
上顎 

 ・OAMテクニック造骨

   

 追加費用なし

骨幅を増やす処置

 

・ 上顎洞挙上

・ GBR(造骨手術)

 追加費用あり

 

 

骨高が少ない

場合適応

下顎

 ・OAMテクニック造骨

 リッジエクスバンジョン

 追加費用なし

骨幅を増やす処置

 ※インプラント治療は手術費用の他上部構造費用がかかります。

※2ピースはアバットメント料金が別途かかります。

 

●●●●●●●●●●●●●●●●●●●●●●●●●●●●●●●●●●●●●●●●●●●●●

※インプラント費用の目安

奥歯に1本インプラントを入れ歯を造った場合

インプラント手術    150000円(投薬料金含む)

インプラント上部構造  49000円(白い歯:メタルボンドセラミックス)

            合計 199000円

平均通院回数  6回〜10回

●●●●●●●●●●●●●●●●●●●●●●●●●●●●●●●●●●●●●●●●●●●●●

ホームホワイトニング 費用目安 上下で平均20,000円 
マウスピース3500円×2
ホワイトニング薬剤 8000〜16000円
オフィスホワイトニング 1回30分 10,000円 片顎(上顎または下顎)

ひかり歯科治療の紹介

ひかり歯科 セラミックダイレクトボンディングクリニックでは

①きわだつ白さの汚れにくく耐久性抜群【プレミアムセラミックジルコニア】

透明感のある自然な仕上がり【ナチュラルセラミックemax】

ほとんど歯を削らないセラミック【ナチュラルセラミックラミネートべニア】

④歯のすき間・小さい銀歯を白く 【ダイレクトボンディング】

①②③④の審美歯科治療症例数が多いクリニックです

歯をキレイにしたい患者さんが多く来院されております。
審美歯科費用は良心的な設定となっております。
治療前後の画像を多く掲載しております

治療前後

【治療前】
【治療後】

◆セラミック+ダイレクトボンディング症例◆

◆ダイレクトボンディング 歯のすき間(すきっ歯)◆

◆ダイレクトボンディング 歯のすき間(すきっ歯)◆

 ◆ダイレクトボンディング ブラックトライアングル改善◆

◆ダイレクトボンディング 歯の着色・初期虫歯◆

◆ダイレクトボンディング 小さい銀歯の入れ替え◆

詳しくは下記に説明があります、ご覧ください。

2022 デイレクトボンディング15.png
2022 オールセラミック15.2.png

 ※オールセラミック(e-max ジルコニア)については国内歯科技工所にて作成依頼
をしており国内で承認されてない 未承認医薬品医療機器の使用はありません。
医療広告ガイドラインに基づき記載いたします、費用は2020年現在のものとなります。

■ご予約はネットか電話にて■
【24時間ネット予約】

【電話予約】
TEL 0492807881
月・水・金 
10:30~12:30 15:00~20:00
土曜日(1週・3週・5週)
10:00~12:00 14:00~17:00

【 審美歯科 】

 
  笑った時の第一印象を決める口元

 銀歯、口元を老けて見せます、女性を中心に白い歯に変える方増えています。 

 歯のすき間(すきっ歯)即日30分でキレイに治療可能【ダイレクトボンディング】
  

  ・銀歯  白い歯(ハイブリッドセラミック・オールセラミック)

  ・すきっ歯  歯を削らず・痛みもなく・即日30分で治療可能
  ・セラミック歯並び矯正 マウスピース矯正

【審美歯科・セラミックス】

nakaDSCN3171_CROP_crop.jpg

【審美歯科 前歯症例紹介①】

【治療前:前歯変色】 
変色と着色で口元が・・・ 

【前歯 セラミックス治療】
  セラミックスで清潔感のある
  キレイな口元を創造

●治療箇所 
左側前歯(向って右)前歯に差し歯交換・セラミック治療
左側前歯 変色した詰め物をダイレクトボンディングで治療

セラミッククラウン  ダイレクトボンディング 

上記治療費用 目安

初診検査 3500

ダイレクトボンディング 1か所 15000

グラスファイバーコア(土台) 10000

仮歯 2000

歯型  5000

セラミッククラウン 69800

装着調整費用 5500


治療回数目安 3回~5回

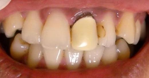
【審美歯科 前歯セラミック症例紹介②】

●治療箇所 
左右2番目のは変色あり(歯の神経が死んだ状態)
●費用 

セラミッククラウン   
【オールセラミックe-max】 

上記治療費用目安

初診検査 3500

グラスファイバーコア 10000×2本

仮歯 2本  2000×2本

歯型 5500

セラミッククラウン 69800×2本

調整装着費用   5500



治療回数目安 3回~6回

■ポイント■

前歯はオールセラミック(e-max,ジルコニアボンドセラミック)
が機能性・耐久性・審美性の面でゴールドスタンダード

 

オールセラミック 利点
金属アレルギーリスクがない
審美性 見た目が天然歯よりキレイ
歯ぐきが黒くなりにくい

 

オールセラミック 欠点
費用がある程度かかる

 

 
2022 オールセラミック15.png

※上記費用は2020年現在のもの 最新費用はページ最上部をご覧ください

【審美歯科・奥歯症例】

 【治療前:笑うと見える銀歯】 
  ギラッとひかる銀色の奥歯・・

【ハイブリッドセラミックス】
  清潔感のある白い歯
   大きく口を開けられます。

●白い歯(セラミックス)
ハイブリッドクラウン 3本

 

上記費用目安

初診検査 3500

グラスファイバーコア 20000×2本 15000×1本

仮歯 2000×3本

歯型 5500

ハイブリッドセラミック 39800×3本

調整装着費用 5500

 

 ■ポイント■
ハイブリッドセラミッククラウン
比較的安価で白い歯が可能、やや耐久性に問題があり
噛み合わせ強い方や歯ぎしりのある方は適応から外れる
 
●利点
奥歯では十分なキレイさ(審美性)
費用が比較的安い  
 
●欠点
セラミックに比べて 見た目や耐久性は劣る
 

銀歯を白い歯に治療
ダイレクトボンディング治療

 

金属除去すると虫歯が、、
虫歯をキレイに除去して
白い歯に替える治療を行いました。

 

治療前

金属除去すると
黒い虫歯がありました

虫歯を取り除き
ダイレクトボンディング

 

費用目安

初診検査 3500

ダイレクトボンディング 29800

治療回数 2回

 

ひかり歯科 院長 佐生光也 症例

【治療前】
歯のすき間(すきっ歯)目立つ

 

【審美歯科症例 ダイレクトボンディング】
歯の隙間をダイレクトボンディングで埋める

歯を削らず、短期間で治療が完了する治療方法

■前歯のすき間治療① 

【治療後】
ダイレクトボンディングで1回で改善

費用目安

初診検査3500

ダイレクトボンディング(すき間1つ)30000

治療回数 2回

 

【審美歯科症例ダイレクトボンディング】

 ■前歯のすき間治療②

【治療前】

前歯歯と歯の間に隙間がある

CIMG0550g.jpg

【治療後】

ダイレクトボンディングで改善

費用目安

初診検査3500

ダイレクトボンディング(すき間1つ)30000

治療回数 2回

 

【審美歯科症例ダイレクトボンディング】

 ■前歯のすき間治療③

DSCN3665_crop.jpg

【治療前】

正中離開 歯の隙間大きい

DSCN3666_crop.jpg

【治療後】

ダイレクトボンディングで改善
前歯のダイレクトボンディング

費用目安 
初診検査料    3,500

一つの隙間につき 30,000
期間 

2回

 

合計 33,500+税
2回の来院で治療可能

 

ダイレクトボンディングのポイント
直接的にセラミック配合された合成樹脂を数層重ねで歯に
接着させる治療方法

 

●利点
歯を削る事がほとんど無い
痛みがほとんど無い
1ヶ所であれば1日で治療が完了する

 

●欠点
一生はもたない(2年~5年程度で入れ替え)
過度な使用、歯ぎしりがあると割れることがある

【審美歯科症例ダイレクトボンディング】
 ■前歯のすき間治療④
 
前歯のすき間を埋める

【治療前】
歯の隙間目立つ

【治療後】

ダイレクトボンディングで改善

費用目安

初診検査3500

ダイレクトボンディング(すき間1つ)30000

治療回数 2回

 

 
【審美歯科症例 ダイレクトボンディング】
 ■前歯のすき間治療⑤

【治療前】

歯の隙間 複数

【治療後】

ダイレクトボンディングで
歯の隙間 改善

【審美歯科症例 ダイレクトボンディング】
銀歯を白い歯に入れ替え
  ■奥歯の銀歯を白くする治療①

【治療前】
銀の詰め物

【治療後】
銀歯をダイレクトボンディング
で白い歯へ

【審美歯科症例ダイレクトボンディング】

  ■奥歯の銀歯を白くする治療②

【治療前】

銀歯の詰め物

【治療後】
ダイレクトボンディングで

銀歯を白い歯へ

【審美歯科症例 ダイレクトボンディング】

  ■奥歯の銀歯を白くする治療③

銀歯を白く

【治療前】

奥歯に銀歯2か所

【治療後】

奥歯の銀歯をダイレクト
ボンディングで白い歯へ

●奥歯ダイレクトボンディング

費用
初診検査料 3500円

29800円×2本


期間
2回から4回

【 ホワイトニング 】 米国式ホワイトニングで白い歯を!
  ひかり歯科のでは低価格で良質なホワイトニングを提供します。

費用目安 片顎(上の歯or下の歯) 10000+税

内容:ホワイトマウスピース+薬代(3から4週分)

薬追加 3g 1から2週分 3000+税
 

【ホワイトニング①】
上下歯の色の違いを見てください
上がホワイトニング後
下が未治療です。
(すべての画像はクリックで大きくなります) 
●分かりやすいように上下別々に時間差で治療

ホワイトニング②

 治療前  
 日本人典型の黄色い歯 

治療後
 白く・透明感のある白い歯

上下同時治療症例

【ホワイトニング③】

上下歯の色の違いを見てください
上がホワイトニング後
下が未治療です。

 

●分かりやすいように上下別々に時間差で治療
 

●ホワイトニング手順
①歯型とり ②ホワイトニング用マウスピース作成 ③自宅で1日2時間ホワイトニング
④2週から4週で治療終了
●メリット
歯を削ることなく白くできるのがメリット
セラミック治療に比べると低費用
●リスク
一時的に知覚過敏症状が出る場合がある
ホワイトニングは白くなるスピードと仕上がりに
個人差がある
詰め物など人工物は白くならない

【 インプラント 】

  • せんべいが食べられた! 
  • 厚いお肉が食べたれた!
  • 入れ歯の異物感から開放された!
  • 入れ歯に比べ食べ物が美味しく感じる。
  • 旅行中入れ歯をはずして洗うのを見られるてショックでインプラントにした。
  •  歯周病で歯が抜け始めたので歯止めを利かせる意味から(インプラントは

  他の歯の負担を減らせると聞いた)インプラントにした。
  インプラント患者さんから、上記ご意見を頂いております。 


ひかり歯科【インプラント】 症例紹介
 

 ① 右下奥歯インプラント2本埋入
インプラント2本入れたため右下の部分義歯を使う必要がなくなる。

【ミラー像のため左右逆】
②右上奥歯インプラント1本埋入

【治療前】
【治療後】

③ 右上奥歯インプラント1本埋入
   ソケットリフト 上顎洞挙上併用

左下奥歯3本インプラント埋入

下顎部分義歯から開放され快適な食生活

インプラント治療手順
 ①術前診断CT撮影 ②インプラント手術(1時間程度)③上部構造装着④メンテナンス
●メリット
他の歯の負担が軽減する
他の歯を削る必要が無い
●デメリットとリスク
外科処置を伴う
費用が高額になることが多い
インプラントが歯周病になることがある
定期的なメンテナンスが必要

【ダイレクトボンディング】
   なるべく削らず・キレイに治す

①前歯の虫歯

【治療前】
虫歯除去時 

【治療後】
キレイに治す

②前歯の離開【正中離開】

【治療前】
 前歯歯と歯の間がすいている

【治療後】
 白い詰め物で改善

【治療前】 
前歯に隙間あり

【治療後】
歯を削らずに改善

③水銀合金の銀歯の詰め替え

【治療前】 
 光沢の無い銀の詰め物
はアマルガム(水銀含有)
の可能性あり。

【治療後】 
 水銀合金を除去
し白い詰め物で治療

2022 デイレクトボンディング15.png

【義歯(入れ歯)の破損を即日修理①】

前歯脱落

直接修理

費用 1500円~3000円  回数1~2回

【義歯(入れ歯)の破損を即日修理②】

前歯脱落

即日修理

費用 1500円~3000円  回数1~2回

義歯(入れ歯)修理治療手順
 義歯破損部位を歯科用合成樹脂にて修復
注意事項 治療リスク因子
 義歯修理は義歯劣化が激しい場合早期に破損する場合がある

 また、状態により修理不能な場合がありその場合作成となる

  
 【粘膜疾患 頬粘膜癌 】

在宅医療にて口腔癌
頬粘膜癌の一例 

処置 

高次医療機関(大学病院口腔外科)に紹介
紹介後頬粘膜癌と確定診断を受ける 

血圧の薬が歯周病悪化させる?
 【血圧の薬服用による歯肉肥大増殖症】①

70歳男性 ニフェジピンに

 よる下顎前歯歯茎の増殖

歯肉増殖は歯周病悪化原因の歯周ポケットを形成する
ため原因薬剤の変更及び歯周病治療が必要
治療法 内科医と相談の上投薬変更 歯周病治療

血圧の薬服用による歯肉肥大増殖症】②

DSCN1469_crop.jpg

93歳女性 

カルシウム拮抗薬による
下顎前歯歯茎の増殖

50年、長期服用のため 
著しい歯肉増殖

治療法 内科医と相談の上投薬変更 歯周病治療
歯肉増殖は歯周病悪化原因の歯周ポケットを形成する
ため原因薬剤の変更及び歯周病治療が必要

 

坂戸市 ひかり歯科 院長 佐生 光也 症例

お問合せ・ご相談

お電話でのお問合せ・ご相談はこちら
049-280-7881

受付時間:月・水・金 10:30~12:30 15:00~20:00
土曜日(1週・3週・5週)10:00~12:00 14:00~17:00
24時間ネット予約受付中

完全予約制

お電話で診察予約 

049-280-7881

<受付時間>
月・水・金
10:30~12:30 15:00~20:00
土曜日(1週・3週・5週)
10:00~12:00 14:00~17:00
※24時間ネット予約受付中
新患様はネット予約ご活用ください
既存患者様は公式LINEから
公式LINE  ID :  @385pezdt
予約・変更・キャンセル可能です。

患者番号と生年月日でログイン必要
 

  • ◎【良心価格審美歯科】

  • ●歯が欠けた・すきま

  • ●歯ぐきから出血?歯周病

  • ●口腔外科

  • ●お問い合わせ

  • ●その他診療案内●

  • ●ひかり歯科設備●

  • ●院長・スタッフ紹介

  • ●提携医療機関●

ひかり歯科

住所

〒350-0214
埼玉県坂戸市千代田3丁目11−1 1階

診療時間

月・水・金
10:30~12:30 16:00~20:00
土曜日(1週・3週・5週)
10:00~12:00 14:00~17:00
※24時間ネット予約受付中